牙齿是由牙冠和牙根两部分组成,当您张开口时,可以看见的部分是牙冠。牙冠又分为牙釉质、牙本质、牙髓,除了外层的那层牙釉质,牙齿里面出了问题,很多情况下医生仅凭肉眼是无法观察到的。因此,为了对牙齿进行全面的了解,需要拍摄相应的牙片来观察。

医生通过牙片,清晰地看到牙根与神经的距离,明确拔牙是不是有风险,根管治疗是不是做到位,缺牙位置是否有未拔除的残根,种牙位置是否正确等。拍牙片,是为了科学诊断,避免误诊,避免盲操作,所以正规的口腔医院都会要求患者在治疗前拍牙片,提高医生诊断的准确性和成功率。让您通过牙片也可以对自己的牙齿有个清晰的认识,更好的配合医生的治疗。
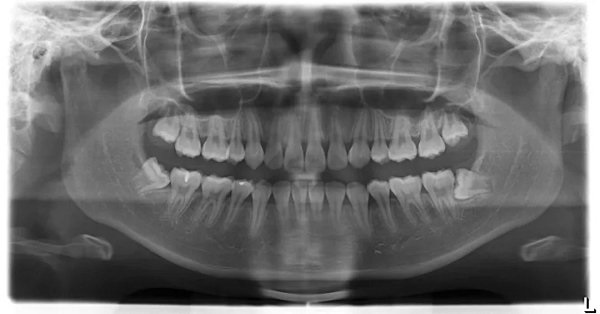
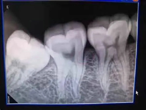
牙 片 的 种 类

1.牙全景片:全口牙齿、牙周、及相邻的结构的情况;

2.根尖片(小牙片):单拍1-2颗牙齿,主要用于深的牙洞、根管治疗及隐匿性的疾患的查明;
3.口腔CBCT:医生可360°的旋转查看口腔状况,不遗漏任何一个角落,主要用于根管治疗前、阻生牙、根尖囊肿、种植牙等;
4.头颅侧位、正位片:主要用于牙齿正畸,便于医生从不同角度观察牙齿的整体情况。
具体需要拍哪种片子,一般根据每个人的牙齿情况不同会有区别。

很多的患者会担心拍牙片的辐射问题,其实,我们拍一次牙全景片个人辐射剂量约5微西弗,小牙片的辐射量更小。国际放射防护委员会建议,一般人辐射限值一年不超过5毫西弗(即5000微西弗)。一般每人每年所受辐射剂量大概在4毫西弗,这是一个安全的量。其中大概85%的辐射源于大自然,仅剩下的大概15%才是医学检查。因此,拍牙片是安全的,不必过度担忧,乃至误会。

但是,孕妇一般不建议拍牙片,就像不建议孕妇用电脑,电视,手机等一样。因此,医生建议:怀孕初期三个月,一般不主张孕妇拍牙片;而怀孕三个月过后,如果必须拍片,孕妇应在腹部围上铅制的防护围裙。对孕妇或哺乳期妇女,拍牙科X线片并非不可。特别强调,只要不是对准腹部或其附近部位的高剂量X射线辐射,准妈妈大可不必过于担心。
来源:口腔科 梁小芹
宣传科编辑整理