5天前,68岁的杨奶奶突发腹痛,症状接连几天没有好转,于是她便到附近医院就诊,当地医生检查后按“肠胃炎”为其开具口服药物。几天后,症状不但没有缓解,还出现了发热、乏力和腹泻等症状。这让杨奶奶和家人都感到非常痛苦,经多方了解,来到郑州大学五附院就诊。

消化内科二病区王文真主治医师经过查体和相关检查,相继排出了常见的胆囊炎、阑尾炎、急性胃肠炎、肠梗阻和肿瘤性疾病。但究竟是什么病造成了这样不典型的腹痛呢?科室夏兴洲主任医师在与兰海涛副主任医师商讨后,建议进一步做全腹部平扫+增强(CT),并邀请胃肠甲状腺外科协助诊治。

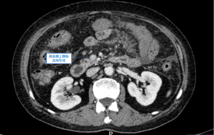
▲ 腹部增强CT提示肠系膜上静脉血栓形成
根据检查结果和丰富的多年临床经验,胃肠甲状腺外科吴万庆副主任医师初步诊断为:肠系膜上静脉血栓形成。他建议进一步行做腹部血管彩超进一步明确病情,结果显示杨奶奶的肠系膜上静脉局部血栓、不全闭塞可能性大,下腔静脉及肠系膜上下动脉血流通畅。通过多方努力,导致患者病痛的罪魁祸首终于找到了!
但杨奶奶已发病多日,病程的迁延、多日的禁食、加重的疼痛,都让她的身心备受煎熬。尽管诊断明确了,但如何选择正确的治疗方式又是一个摆在医生们面前而迫在眉睫需要解决的问题。是选择保守治疗、手术治疗,还是腔内治疗?吴万庆副主任医师建议紧急邀请血管外科会诊并转入专科治疗。
医院副院长王兵教授带领血管外科崔文军主任医师、安乾副主任医师详细探讨并权衡利弊,决定立即行创伤小、安全系数高的腔内血管治疗,即采取置管溶栓(尿激酶原针间接溶栓)的方式,并配合抗凝等基础治疗,分步溶解血栓。

▲ 经过溶栓后肠系膜上静脉恢复通畅
手术由王兵教授及崔文军主任医师指导,安乾、任菲副主任医生进行操作。通过造影定位,精确地将溶栓导管置于肠系膜上动脉内,顺利完成手术。经过术后三天的溶栓,杨奶奶所有的不适症状迅速缓解。再次造影显示,肠系膜上静脉血栓已经被溶解殆尽,血液回流恢复通畅,化验指标也趋于正常,疾病得到良好的治疗。经过施敏护士长团队的精心护理,平稳的度过了围手术期,目前已顺利康复出院。
健康科普:肠系膜静脉血栓形成
肠系膜静脉血栓形成是一种发病率低、病死率高的缺血性肠疾病,包括肠系膜上静脉、肠系膜下静脉、脾静脉与门静脉血栓形成,由于肠道血液不能顺利回流,会导致肠道淤血而发生坏死。该病的临床表现一般具有非特异性,由于该病的症状和体征均不典型,在临床中误诊误治率较高。

▲ 肠系膜上静脉血栓示意图
严重的腹部症状与腹部体征不符是其特点,症状表现为腹痛、腹胀、恶心、呕吐及血便等,早期体征往往腹部无改变,当后期出现腹膜炎表现时,则已出现肠坏死。再加上此病较为少见,很多临床医生对此认识不足,故常常导致误诊。当出现无明确诱因出现腹痛、腹水以及有血栓疾病的病史或家族史时,在临床上要高度怀疑肠系膜静脉血栓形成。
来源:血管外科
宣传科编辑整理