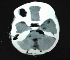
近日,郑州大学五附院神经外科二病区收治了一名因第四脑室肿瘤引起急性脑积水1岁患儿,入院时表现为频繁呕吐、精神萎靡,神经外科二病区吴建珩副主任医师带领的诊疗组接诊后考虑患儿为肿瘤堵塞脑脊液循环通路,造成梗阻性脑积水及颅内压增高,时间就是生命,来不及常规行MRI检查,急诊行增强CT检查,CT检查结果回示患者小脑蚓部巨大肿瘤充满第四脑室,大小约30mm×30mm×35mm,考虑室管膜瘤,脑积水严重,脑疝风险极高,生命危在旦夕。患儿才刚满1岁不久,正是父母的心头的宝,若是遭此不幸,毫无疑问对其父母以及整个家庭都是难以承受的巨大的打击。
对于如此危重的病例,吴建珩副主任医师带领诊疗组紧密合作,及时将病情向神经外科二病区主任单峤汇报,在与家属就患儿病情充分沟通后,在最短的时间内紧急安排了术前准备,并以最快的速度将患儿送入手术室。得知患儿病情危重,麻醉科胡强夫主任非常重视,紧急从家中赶赴手术室,诱导、麻醉、气管插管、深静脉置管等工作一气呵成,为手术保驾护航。
当日19时,在寄托了无限希望的手术室里,一场挽救生命的战争悄无声息地展开了。分分秒秒对患儿都至关重要,压迫脑脊液循环通路的肿瘤早一分钟被切除,脑疝的风险就会早一分钟消失,患儿就会早一分脱离生命的危险。神经外科二病区吴建珩副主任医师迅速而精准地进行着每一步手术操作,切皮、开颅、处理硬膜、显露、游离肿瘤边界,术中所见的肿瘤组织与术前所做的增强CT检查一致,位于第四脑室,严重堵塞了脑脊液的循环通路,确定是室管膜瘤,神经外科二病区主任单峤在显微镜下小心翼翼分块切除肿瘤,最后完全清理了第四脑室内的肿瘤组织,随着脑脊液从第四脑室缓缓流出,患儿的生命之门被打开了。
从开始麻醉到手术结束仅仅用了两个半小时的时间,出血仅100ml。手术结束后患儿转入ICU。“手术过程顺利,肿瘤组织被完全切除,脑脊液的循环通路打开了,应该会有一个不错的结果”,单峤主任第一时间向患儿的父母报告了这个好消息。

术前:肿瘤组织巨大

术后:肿瘤完全切除

手术现场
第二天查房,患儿精神明显好转,高颅压症状极大缓解,小小的胳膊腿有力地弹蹬,手术效果让所有人都感到惊奇。吴建珩副主任医师摸摸患儿的小脸,患儿被逗笑了。但患儿父母却哭了,他们流下了激动的泪水。

术后,患儿的病情每天都在好转,再也没有出现过恶心呕吐等症状,精神头也越来越棒。
来源:神经外科二病区 袁晓威
宣传科编辑整理