心脏疾病有很多检查方法,如心电图、心脏彩超、冠脉CTA及介入DSA检查等已被我们熟知,而随着磁共振技术及硬件的长足发展,心脏磁共振检查(CMR)已经由之前的特殊检查走向了临床一线,在全国各大医院普及,发挥巨大作用。
1 为何需进行心脏磁共振检查检查?
医生利用心脏磁共振检查观察心脏各组织情况,也可用于检查患者是否罹患以下疾病:1.先天性心脏病;2.非缺血性心脏病;3.缺血性心脏病;4.手术或外伤评估;5.瓣膜疾病;6.心包疾病;7.肿物。
需要具体说明的是,心脏磁共振检查可以提供这些信息:
1.心脏的解剖结构问题,比如:异常连接、分流、狭窄、外科手术前评估及随访,房间隔缺损、室间隔缺损、粘液瘤、血栓、心肌肥厚(流出道是否梗阻)以及增大或缩小的心腔等。
2.心脏的功能问题。比如:左心室、右心室的射血能力(EF值)等。
3.心肌的活动情况。比如:心肌的收缩、舒张能力的减低,局部心肌的异常活动等。
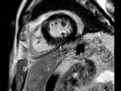
4.心肌的信号、强化是否正常。比如:炎症、水肿、纤维化、淀粉样变性、瘢痕、室壁瘤等。
5.心肌灌注有无异常。比如:缺血、包括静息态及负荷后等。
6.瓣膜疾病。比如:狭窄、反流、占位及钙化等。
7.心包疾病。比如:积液、缩窄、压迫、肿物等。
8.占位。比如:肿物范围、性质等。
2 心脏磁共振检查前需要做哪些准备?
首先要排除以下禁忌症:心脏起搏器、自动心脏除颤器植入、动脉瘤夹(材质)、神经刺激器、输液泵、人工耳蜗、其它(幽闭、眼球异物特别是金属屑、不稳定心绞痛)。
需要注意的是,心脏支架植入不是禁忌症!
其次,患者无频发心率失常,以达到满意的图像质量。在检查过程中,要向患者进行解释以及训练配合。患者需要听从指令,使用呼吸门控,一般为呼气后屏住气扫描。
3 郑州大学五附院开展磁共振检查情况
郑州大学五附院拥有全数字磁共振系统(Philips Ingenia 3.0T),可提供高清图像质量和超快速扫描速度,同时ipatient关怀式理念能够提供以患者为中心的舒适体验。目前该设备装机于医院医学影像科16号楼一楼西侧。
检查情况及诊断流程如下:
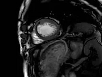
1.借助心脏电影,完成心功能分析。


2.心肌灌注成像,通过对比剂首过心肌的检测可以判断知否发生心肌灌注异常(心肌缺血)。

3.心肌活性评估,心肌组织中失去活性的心肌细胞和延迟强化存在可靠的对应关系,即失去活性的心肌组织有延迟强化。


4.非缺血性心肌病的评估,如肥厚性心肌病、扩张性心肌病、限制性心肌病等,心肌呈现不同程度条状、斑片状、斑点状的延迟强化。


5.心肌致密化不全。

6.心肌定性成像,T2-mapping可以定量评估心脏炎症、心肌损伤等,为临床提供参考。

7.Q-flow,主要应用于心脏瓣膜病、主动脉狭窄等。


最后,还有心脏冠状动脉MRA检查,无电离辐射,无需注射对比剂(有限的冠脉评估)。
总之,心脏磁共振检查具有无电离辐射、优良的软组织对比分辨率、大视野、任意平面成像的特点,能够“一站式”获得心脏形态、功能及冠状动脉的所有信息。是评估坏死心肌,心肌纤维化及瘢痕成分的有效影像学检查方法,也是评价心脏结构和功能的金标准。
来源:医学影像科 李冰
宣传科编辑整理