超声医师在检查过程中,经常会有患者询问“这有什么问题,这个问题严不严重,需不需要治疗”等等问题。当听到超声医师口中的专业名词,很多患者都会开始紧张。那在肝脏体检中,脂肪肝、肝囊肿、肝血管瘤等等专业名词到底是怎么回事呢?下面就为您一一解答。

肝脏病变主要分成两类,一是弥漫性病变,一种是局灶性病变。

弥漫性病变顾名思义就是整个肝脏都出现了某种表现,常见的就是脂肪肝、肝硬化。脂肪肝是肝细胞内的脂肪堆积,一般分成轻度、中度及重度三种,通常脂肪肝是可逆的,在减肥或是去除病因后,脂肪肝的程度会减轻或是消失。肝硬化是各种肝病的终末阶段,通常是病毒性肝炎导致,超声对早期的肝硬化诊断不敏感,对中晚期的肝硬化比较敏感,当出现典型肝硬化时,会伴随门静脉增宽及门静脉高压的相关症状,此时需要到消化科进行正规的干预。

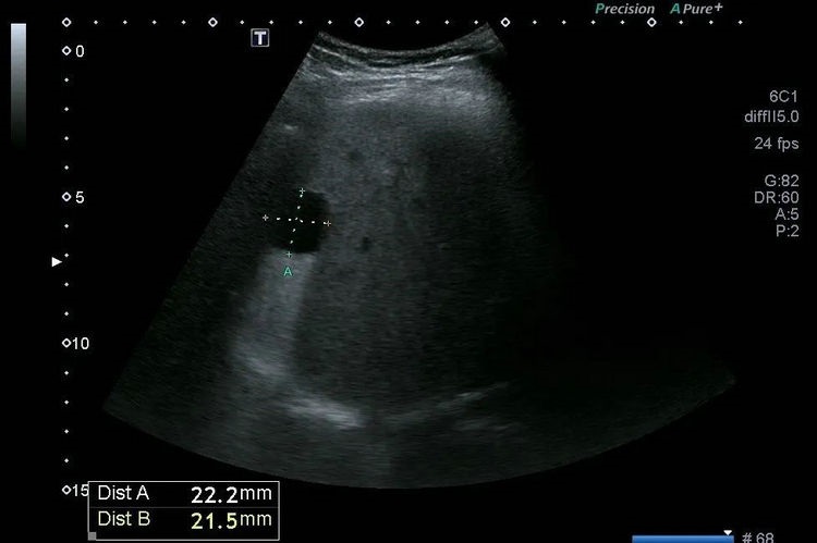
▲ 肝囊肿
局灶性病变是指肝脏局部出现的占位性病变,这里会分为两类,一种是良性病变,一种是恶性病变。良性病变包括肝囊肿、肝腺瘤、肝血管瘤及肝脏局灶性结节性增生(FNH)等等。肝囊肿是体检时最常见的局灶性病变,肝囊肿通常生长速度缓慢,一般小的囊肿(<5cm),不需要特殊处理,随着年龄增长,肝囊肿的数目和大小也会有所变化,通常是半年或是1年复查一次。当囊肿突然增大时,考虑出血或是感染,这时就需要及时进行干预。当囊肿较大,并且产生压迫症状(例如腹痛等),也应进行治疗。

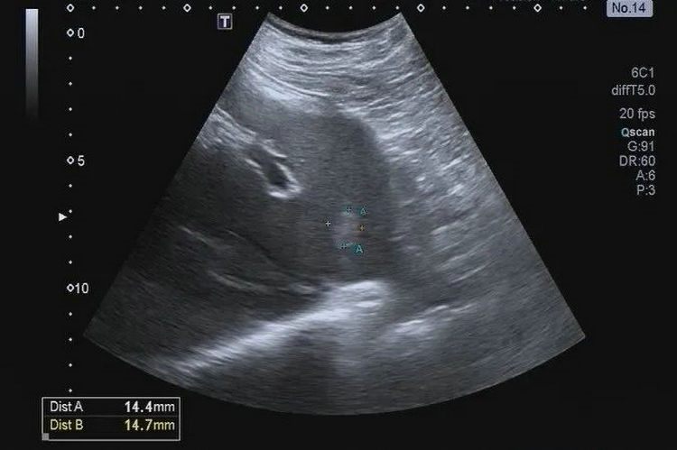
▲ 肝血管瘤
肝血管瘤目前常见的就是海绵状血管瘤,属于肝脏良性肿瘤,生长十分缓慢,通常每年生长速度小于2mm。需要提醒的是,超声体检检出的血管瘤只是筛查方法,不能作为定性诊断,对于第一次发现者,还需要结合其他的检查方法进一步明确诊断,例如超声造影等,而且,以后还需要定期进行复查。

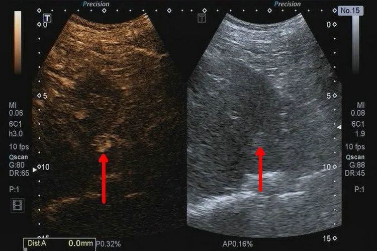
当超声体检发现肝内实性结节时,需要进行良恶性鉴别,由于普通超声提供的信息较少,此时就需要进一步的检查来确定实性结节的良恶性,检查方式主要是增强CT和超声造影。

超声造影是经静脉团注超声造影剂,通过观察结节造影模式来对结节进行良恶性的鉴别。超声造影的主要优势为:
1.实时连续性,5分钟连续实时的对结节进行扫查。
2.几乎对人体不会产生毒副作用。目前广泛应用的超声造影剂是声诺维及示卓安,主要成分是六氟化硫及全氟丁烷,均为惰性气体,15分钟后经呼吸排出,为肝肾功能不全、无法进行增强CT扫描的患者提供一种新的检查手段。
3.可重复性,由于超声检查的安全无辐射的优势及超声造影剂的安全性,使得超声造影在短期内可及进行重复检查。
4.超声造影主要是微循环灌注,在增强扫查时,微细结构显示更加清晰。
最后,还需要提醒一下,检查肝胆胰脾超声时,需要空腹哦!另外,检查前一天晚上少吃产气的食物,防止肠气过多,影响检查效果。
来源:超声诊断科 江昕 杨金雨
宣传科编辑整理