日前,年仅6个月,体重8Kg的小依依被父母抱到郑州大学五附院心胸外科。入院后的心电图检查提示:心律失常-阵发性房性心动过速(2:1下传),平均心房率353次/分,心室率185次/分。经过细致的诊察,小依依被确诊为先天性心脏病-室间隔缺损合并房间隔缺损、中重度肺动脉高压、顽固性快速性心律失常。

术前心电图
对于小依依的病情,手术几乎是唯一的选择。
但心胸外科高兴才主任经过全面检查后认为,小依依并不是一例简单的先心患者,加上低龄、低体重,这些高危因素给手术及术后恢复带来的风险是不言而喻的。但是,如果不积极进行手术治疗的话,小依依可能会很快出现艾森曼格综合症从而失去手术机会,最终会因心力衰竭而离开这个世界。毫无疑问,这对小依依的父母及整个家庭都是巨大的打击。面对如此进退两难的局面,为了身着的白大衣,为了救死扶伤的誓言,为了幼小且鲜活的生命,经过再三衡量之后,高主任决定为小依依尽快行手术治疗。
“谋定而后动、知之而有得”。高主任亲自与家属充分沟通了小依依目前的病情,告知手术后可能反复出现恶性心律失常且难以控制及纠正,甚至出现心功能不全等风险。在得到了家属的理解后,又请麻醉科胡强夫主任会诊并一同制定了缜密的手术麻醉方案。手术如期进行着,胡强夫主任亲自为手术保驾护航。术中室颤、房颤、房扑等恶性心律失常如期而至,在高主任和胡主任竭力配合下,这些难题一次又一次迎刃而解。这又一次印证了术前的判断,这不是一次简单的手术,这不是一个简单的先心病。
然而,这还只是刚刚开始,由于顽固性恶性心律失常的出现,心率、血压出现反复波动,心功能每况愈下,床旁心脏彩超结果提示EF只有26%,血管活性药物的用量也越来越大。大家嘴上不说,可是都心知肚明,高主任顶住压力,守在监护室,密切关注各项指标的变化,随时调整,累了就趴在桌子上休息一会,这一守就是3天4夜。随着时间的推移,小依依的病情似乎出现了转机,心律、血压趋于平稳、EF值呈上升趋势。谁曾想就在术后第4天晚9时左右,眼看着上一秒还很平稳的心律突然又一下次窜到了230次/分,随着心律突变,血压受到直接的影响,乳酸也在不断的升高,小便也越来越少,病情越来越重。这简直是灭顶之灾,当场医护人员的心都凉了一半。高主任没有轻言放弃,再次披挂上阵,有条不紊并且迅速展开又一轮的抢救。如何扭转心律失常、如何纠正心功能、如何稳定循环、如何稳定内环境,可达龙不行,换,艾司洛尔不行,再换……。这6天7夜,死神一次又一次的靠近,却都被执拗的医护人员无情地拒之门外。

高兴才主任在术中
在这没有硝烟的战场上,郑州大学五附院的医护人员与死神默默地打响了一场20余天的拉锯战,在这次恶性、顽固性心律失常被克服之后,由于长期气管插管、呼吸机辅助呼吸、持续镇静,又迎来了新的问题:肌力下降、呼吸机依赖、肺部感染、气管软化等。这场战斗进行的异常艰难,不过,在高主任带领的医护人员共同努力,克服重重困难,几经辗转硬是将孩子从死亡的边缘拽了回来,最终顺利脱掉呼吸机、心功能越来越好、哭声越来越大。目前,小依依的各项指标基本稳定,由于心内畸形矫正,心律也逐渐恢复了窦性心律,终于再次回到了父母那温暖的怀抱。

术后心电图
科普:肺动脉高压
有很多原因可以导致肺动脉高压,如左心疾病、先天性心脏病、缺氧性病变、肺血栓栓塞症等,而这些明确原因导致的肺动脉高压,占据了这些人群的主体,甚至包括了99%以上的肺动脉高压。先天性心脏病合并肺动脉高压,目前是先心界治疗的难点也是热点,从流行病学,目前尚无明确的先天性心脏病发生肺动脉高压数据。我国估计有200万~300万患者。病理生理方面,左向右分流,持续肺动脉高灌注,高血流量,导致肺血管内皮细胞功能改变、递质释放、血管通透性增加。内皮细胞、肺血管平滑肌细胞、单核细胞、巨噬细胞和成纤维细胞等之间发生信息传递,生长因子释放,蛋白合成增加,细胞增殖活跃而凋亡减少,使肺血管异常生长、改建,最终形成肺动脉高压。
肺动脉高压早期常无明显自觉症状,有时虽然肺动脉高压已引起右心室肥厚及慢性高压性肺源性心脏病,但症状并不一定显著,而多在20~40岁间才逐渐出现气急、乏力、呼吸困难或有咯血、心悸、声音嘶哑等症状。由于心排血量降低,可有四肢寒冷、脉搏细小、周围性紫绀、心绞痛、晕厥等,紫绀在早期常不严重,但在有右至左分流的情况下却可出现显著的紫绀。
肺高压危象是在肺动脉高压的基础上,缺氧诱发肺血管痉挛性收缩,肺循环阻力升高,右心血泵出受阻,导致突发性肺高压和低心排血量的临床危象状态,是引起围术期死亡的重要原因之一。
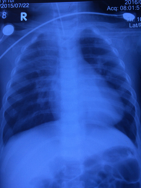
本例患者属于典型肺动脉高压,胸片特征如:右下肺动脉横径增宽,肺动脉段突出,中央肺动脉扩张、外周肺血管丢失形成“残根征”,右房、右室扩大,心胸比增大。

由于心内畸形纠正,术后胸片提示较术前明显好转

来源:心胸外科 张伟
宣传科编辑整理