3个月前,王先生在无明显诱因的情况下出现间断发作的头晕症状,并伴走路不稳、反应迟钝、言语不利、流涎、视力进行性下降,考虑到症状还在进行性家中,家人赶忙带王先生来郑州大学五附院接受治疗。

神经外科三病区主任付旭东接诊后,根据当地影像学检查结果,初步诊断为“侧脑室旁囊肿”、“脑积水”。但奇怪的是,与近期影像学检查对比后,发现王先生的脑室系统并未显著扩张,侧脑室旁囊肿也未快速增大,这与逐渐加重的临床表现不符,且以上诊断并不能很好的解释视力进行性下降的症状。


▲ 磁共振T2像显示左侧侧脑室旁囊肿,囊肿与侧脑室之间有分隔,对周围脑组织挤压形成囊周水肿;侧脑室前后角变得圆钝,三脑室扩张,此为脑积水的典型表现。
付旭东主任经过反复查体,发现王先生的眼球间断有轻微震颤,随即他敏锐判断出这种现象是由于轴凑反射诱发导致,通过了解得知王先生分别于25年前和1年分别两次接受“前脑室腹腔分流术”治疗,考虑其为“中脑导水管综合征”。

由于王先生合并侧脑室旁囊肿,在与其家属进行充分沟通后,付旭东主任团队对其进行了“神经内镜下侧脑室旁囊肿造瘘术+三脑室底造瘘术”, 利用神经内镜将孤立的囊肿与侧脑室之间的分隔打开,使囊肿内的脑脊液进入脑室循环系统,并且在三脑室底部造一漏口,使双侧脑室脑脊液能够向下流通。


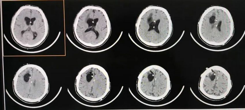
▲ 术后半个月头颅CT显示:侧脑室旁囊肿与侧脑室沟通,侧脑室旁囊肿大小及脑室大小变化不大
在付旭东主任、马建副主任医师、李凌乐护士长的指导下,经过李明贺主管医师、赵宁主管护师等全体神经外科三病区医生和护理团队近半个月的精心治疗,王先生眼震、流涎症状逐渐消失,缄默、头晕、走路不稳等症状也得到有效缓解。通过随访,目前王先生已基本恢复正常生活。
中脑导水管综合征是神经外科发病率低的一种疾病,此病进展迅速,预后差,死亡率很高,目前对此病有效的治疗手段为神经内镜下三脑室底造瘘术。
付旭东主任表示,中脑导水管综合征为脑积水分流术后少数患者出现的一种临床综合征,在国内外的临床报道中也不过十余例。临床特点以眼部症状为主,表现为眼球垂直凝视障碍、眼球震颤、会聚性痉挛及瞳孔对光或近距视觉反应减弱或缺失。此外,还可出现锥体系、锥体外系症状和其他复杂临床表现, 如肌张力增高、肌腱反射亢进、病理征阳性、帕金森震颤、运动迟缓、运动性缄默、记忆力障碍和意识状态交替变化等, 统称为球间脑嘴功能障碍。该病临床表现多样,病死率高,预后差。内窥镜下三脑室造瘘术可能是缓解和治疗该综合征较有效的方法,通过三脑室造瘘可平衡幕上腔和幕下腔压力梯度和缓解三脑室扩张牵拉程度。
来源:神经外科三病区 李明贺 王清毅 付旭东
宣传科编辑整理