最近,许多人就诊时会问:“新冠康复后需要去拍CT吗?我这是白肺吗?我家里有亲人CT上有白色的斑片影是白肺吗?”
其实,我们需要知道的是,咳嗽、发热是新冠早期的典型临床症状,发热过程大多不超过3天,少数发热体温可达39℃以上,多数为中等度热,体温在38.1-39℃之间。如果您的年龄≥65岁,既往有心脑血管疾病、肺部慢性疾病病史、肿瘤、肥胖、免疫力低、未接种疫苗等危险因素其中之一,持续发热>3天热峰不下降,伴有胸闷、呼吸急促、指脉氧下降(≤93%)其中之一或者高龄老年人出现持续纳差、精神差、指脉氧下降超过日常平均值5%,建议以上情况至医院行胸部CT尽早明确肺部感染情况,而对于年龄<65岁,无危险因素且仅有咳嗽症状患者,如果咳嗽症状逐渐减轻,对症治疗即可,如果症状逐渐加重或病程大于8周,建议行胸部CT检查。
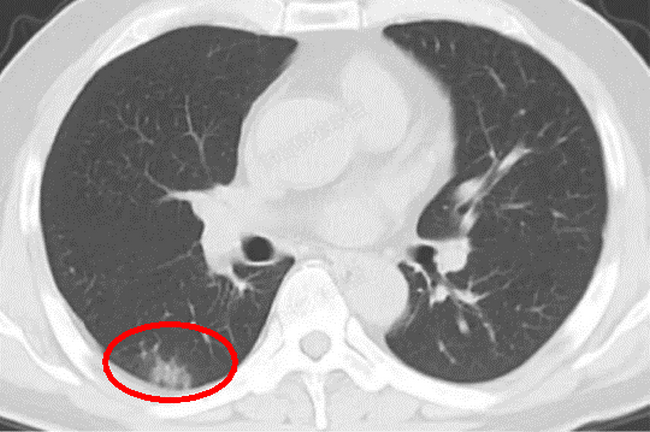
新冠病毒感染患者影像学特点早期多为肺外带小斑片影或间质改变,见图1:

▲ 图1
这是诊疗中常见的新冠病毒所致肺炎的CT表现,并不是“白肺”,那口语中的“白肺”的CT是什么样的(图2)?

▲ 图2
只有肺部病变大于75%才是“白肺”,也就是白的面积大于整个肺部的75%。所以大多数仅仅是图1表现的,请放心,您目前不是“白肺”,只是肺有一点“白”。如果您年龄小于65岁,没有高危因素,只有干咳症状的话,而且症状逐渐减轻,那么您应该不会进展为“白肺”的。
还有不少患者会问:“新冠肺炎需要输注人免疫球蛋白(丙种球蛋白)吗?”免疫球蛋白和指南中推荐的COVID-19免疫球蛋白不同,目前专家指南建议尚无人免疫球蛋白治疗推荐,也尚无相关循证学依据。市面上普通的静注人免疫球蛋白属于血液制品,一般用于严重的细菌或病毒感染的患者、病毒性肝炎的密切接触者、免疫力低下且病重的老年患者、新生儿败血症等,在其他治疗的基础之上,有时需要将静注人免疫球蛋白作为辅助治疗手段,暂时性提高机体免疫力,不是新冠的特异性治疗药物。
来源:全科医学科 李海燕
宣传科编辑整理