情景一
家长:大夫,我家孩子发烧3天了,一烧就40多度,还咳嗽,吃药一点效果都没有。

情景二
家长:大夫,前两天我们过来看过一次,你说我们孩子是肺炎支原体感染,说支原体感染需要用阿奇霉素,我们吃了两天了,一点效果都没有,还是发烧、咳嗽。

情景三
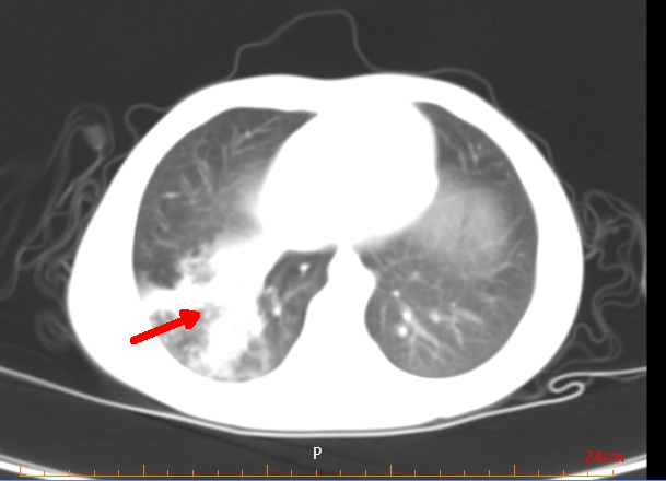
住院医师:主任,您看看这个孩子的片子,这是一个4岁的孩子,病史就3天,高烧加轻微的咳嗽,查了胸部CT显示一侧肺叶全是肺实变。

情景四
家长:大夫,我家孩子这都住院输水3天了,怎么还是发烧呀?

前面的四种情景,在最近的儿科门诊和病房屡见不鲜。这些患者所得的疾病都是肺炎支原体肺炎。今年的儿童肺炎支原体肺炎来的比往年更猛烈,患病儿童更多,病情更重,很多孩子胸部影像学显示“白肺”,可以说今年是肺炎支原体肺炎“流行大年”。各个医院儿科门诊人满为患,病区床位异常紧张,这使得许多家长非常担心。家长对病毒、细菌可能有一定的了解,面对肺炎支原体可能会比较迷茫。
01什么是肺炎支原体?
肺炎支原体是一种介于细菌和病毒之间的微生物,是最小的原核致病微生物,是可以引起儿童呼吸道感染的非常常见的病原微生物,在自然界中广泛存在。但是,当我们的呼吸道接触到肺炎支原体后却不一定都会生病。比如,有研究发现,大约20%的健康儿童是携带肺炎支原体的。也就是说,只有当孩子抵抗力低下或者呼吸道内肺炎支原体载量非常多的时候才会生病。

肺炎支原体可导致上呼吸道感染(如鼻咽炎、鼻窦炎、中耳炎、扁桃体炎等),也可引起下呼吸道感染(如支气管炎、肺炎等);另外也可产生包括全身各系统在内的肺外表现:①消化系统:以肝功能轻中度损害为主,②神经系统:最常见为脑炎,③泌尿系统:可引起急性肾小球肾炎综合征、间质性肾炎、IgA肾病等,④皮肤黏膜系统:皮疹,⑤血液系统:以溶血性贫血多见,也有关于脑、肺、肢体血管栓塞及弥漫性血管内凝血的报道。

02肺炎支原体肺炎临床表现
1.以发热、咳嗽为主要临床表现,可伴有头痛、流涕、咽痛、耳痛等。
2.发热以中高热为主,持续高热者预示病情重。
3.咳嗽较为剧烈,可类似百日咳样咳嗽。
4.部分患儿有喘息表现,以婴幼儿多见。
5.肺部早期体征可不明显,随病情进展可出现呼吸音降低和干、湿性啰音。

03肺炎支原体感染传播途径?
肺炎支原体患者是主要的传染源,通过飞沫经呼吸道传播,从密切接触的亲属及人员密集的幼儿园、学校、社区等环境开始流行,潜伏期l~3周,潜伏期内到症状缓解数周均有传染性;各年龄段人群对其普遍易感,儿童是最易感人群,发病高峰年龄是5岁以上的学龄前期和学龄期儿童,但目前研究表明发病年龄有逐步低龄化趋势。另外,肺炎支原体每3~7年出现地区周期性流行,流行年份的发病率甚至可达到非流行年份数倍,有众多研究表明2019年为肺炎支原体感染高流行年份,时隔3年今年肺炎支原体感染高发可能与其流行特点有关。

04如何检测?
根据《儿童肺炎支原体肺炎诊疗指南(2023年版)》,肺炎支原体的检测手段主要包括:①肺炎支原体核酸检测;
②肺炎支原体抗体测定;
③肺炎支原体培养。
但无论是哪种检测手段,都存在假阴性或假阳性的可能,是否需要干预治疗还是需要医生结合孩子的临床症状和影像学特征做出综合判断。
05如何识别重症肺炎支原体肺炎?
当患儿居家观察时,若患儿出现反复高热不退、呼吸增快,或呼吸困难(吸气时胸骨上窝或者锁骨上窝或者肋间出现凹陷)等情况,需要及时就医治疗。
儿童正常呼吸次数:

06如何治疗?
3岁以内或伴有基础疾病(如先天性心脏病、遗传代谢性疾病等)的情况下,感染肺炎支原体后往往病情进展快,因此对于这部分孩子,一旦出现高热、咳嗽,建议尽快就诊。对于年龄较大且平时身体健康的学龄前和学龄期儿童,当高热且持续48小时,或高热时间不长但咳嗽剧烈、精神萎靡、胃口差等,建议尽快就诊排查。
重点是早期识别和治疗重症肺炎支原体肺炎和危重症肺炎支原体肺炎。最佳治疗窗口期为发热后5-10天以内,病程14天以后仍持续发热,病情无好转者,常遗留后遗症。
对于轻症的肺炎支原体肺炎,主要以抗感染治疗为主,首选大环内酯类药物,如阿奇霉素、克拉霉素、红霉素等;充分休息和能量摄入,保证水和电解质平衡,同时给予止咳化痰对症处理。轻症患儿病程多在7-10天左右,预后良好,后遗症少见。
对于重症肺炎患儿,则需要进一步采取综合措施,包括抗感染、糖皮质激素、支气管镜灌洗、抗凝、丙种球蛋白等联合治疗。当考虑耐药肺炎支原体感染导致重症肺炎时,还会使用到一些可能对儿童牙齿和骨骼产生影响的“非常规”用药,比如四环素类或喹诺酮类药物,但根据已有的治疗经验,短期使用这些药物是安全的。绝大多数重症肺炎支原体肺炎是可以治愈的,但仍有一小部分患儿有发生闭塞性支气管细支气管炎、支气管扩张、肺不张、机化性肺炎等后遗症的可能。
因此需要提醒家长,对于重症肺炎支原体肺炎的孩子一定要遵医嘱按时到呼吸专科随访,从而早期识别和治疗后遗症,以免延误病情。
07感染了,恢复了,还会再次感染肺炎支原体吗?
可能。
肺炎支原体感染后免疫力持续时间不长,因此在感染后出现再次感染的可能性是存在的。
08面对呼吸道疾病高发的秋冬季,我们家长能做什么?
①首先,家长们需要培养孩子的卫生习惯,比如咳嗽、打喷嚏时注意遮掩口鼻,勤洗手。
②居家时注意多通风,保持环境卫生清洁和空气流通。若家长有呼吸道症状,注意戴口罩,勤洗手,避免家庭内部交叉感染。
③注意合理膳食,保证足够的营养,避免偏食挑食,
④保证充足的睡眠,
⑤坚持体育锻炼,增强体质。
⑥穿衣要适宜。气候变化时要及时增减衣物。以手足温暖,无汗为宜。
⑦近期是呼吸道病的高发季节,家长们尤其要注意,尽量减少不必要的聚集,家长如果要带孩子出行,尽量避免去人员密集、通风不良的公共场所,必要时戴好口罩。

郑州大学五附院儿科多措并举,全力应对支原体肺炎、流感等就诊高峰。门急诊、输液等岗位医护人员加班加点,延长工作时间;增加医护人员数量缓解门急诊就诊及输液高峰压力;通过部分区域空间改造,增加补液空间;病房增加床位,满足住院需求。
参考文献:
1.中华人民共和国国家卫生健康委员会,儿童肺炎支原体肺炎诊疗指南(2023 年版)2096-3327(2023)03-016-09 DOI:10.3969/j.issn.2096-3327.2023.03.003
2.Uptodate:Mycoplasma pneumonia infection in children
3.第9版儿科学,人民卫生出版社
图片:以上网络图片如若涉及侵权行为,
请联系我们,我们将第一时间清除
来源:儿科 孟颜
宣传科编辑整理