郑州大学第五附属医院

郑州大学第五附属医院
搜索按钮
进入适老模式
信息公开
医学科普
首页>信息公开>医学科普

一文帮你读懂新生儿颅脑超声

发布时间:2023/11/11文字调整

随着医学的进步,早产儿及低体重新生儿的存活率提高,但他们容易发生脑损伤。


对于新生宝宝来说,颅脑损伤早期往往缺乏典型的临床表现,出现症状后再做出诊断和治疗,已经到了疾病的晚期,可能给宝宝带来严重的后遗症,造成明显的神经功能损伤。


因此早期发现很重要!那么咋样做到早期发现呢?新生儿颅脑超声来帮忙!


新生儿颅脑超声可以清晰显示新生儿颅内的各种结构及血管的情况。


640

正常颅脑超声

640 (1)

正常颅内血管


一、什么是颅脑超声?

颅脑超声不仅适用于新生儿,还适用于前囟未闭的婴幼儿颅内病变的筛查及诊断,利用超声仪器通过小儿尚未闭合的囟门(前囟、侧囟、乳突囟、后囟,主要为前囟)对颅内结构及病变进行检查及诊断,可提示颅内病变的类型、程度、部位,可作为高危新生儿的常规筛查手段。


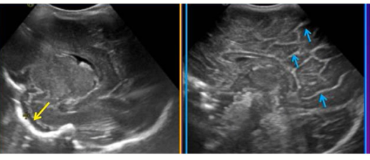
640

颅脑超声检查


640 (2)


颅脑超声切面示意图


二、新生儿颅脑超声检查的适应症

1.从出生到三天内的常规检查;

2.囟门尚未闭合的婴儿和新生儿;

3.颅内出血:硬脑膜下出血;室管膜下一脑室内出血;脑实质出血;蛛网膜下隙出血;小脑内出血;

4.母亲有异常分娩史及相应病史的新生儿(如宫内缺氧、窒息、宫内感染等);

5.脑积水(脑室扩张)及其他囊性疾病;

6.先天性脑发育异常;

7.颅内感染性疾病;

8.早产儿常规筛查、可能发生颅内脑结构改变的新生儿(如足月新生儿小婴儿、低体重儿、多胎儿、巨大儿);

9.母亲孕期有合并症的新生儿(如母亲妊娠合并糖尿病、母亲妊娠期高血压等);

10.产前超声发现胎儿颅内异常的随访;

11.头围增大、颅缝早闭、先天性畸形、癫痫、面部畸形、小头等婴幼儿。


640 (1)

脑积水

640 (3)

颅内出血

640 (4)

脑室周围白质软化症

640 (5)

脑膜炎脑室炎超声


三、颅脑超声检查及复查时间

1.颅内出血

绝大多数发生在生后3天内,生后1周内的检出率为90-95%,严重且不稳定的颅内出血应酌情及时复查,一般为1-2个月后观察出血吸收情况。


2.缺氧缺血性脑病

出生3天内观察有无脑水肿,1周后复查有无完全恢复,1月后复查是否存在遗留病变。


3.脑室周围白质软化

出生后3天内观察有无脑白质损伤,1周后复查有无恢复,3-4周后观察有无白质软化,3-4个月后复查了解软化灶有无消失及有无脑室扩张。


4.颅内感染  

宫内感染结局在出生后即可表现,生后感染应酌情检查。


5.其他怀疑有颅内占位病变、脑积水的婴幼儿在前囟未闭合(前囟一般一岁半之前闭合,最迟2岁闭合)之前都可以检查,根据治疗后情况进行复查。


6.脑血管疾病的检查没有年龄限制。


640 (2)_副本


四、新生儿颅脑超声检查的优势

颅脑超声是非侵入性检查,检察前无需特殊准备,哭闹可准备奶瓶或安抚奶嘴,并且具有高准确性、高灵敏度、高特异性、无辐射、价格便宜,操作方便,可重复性检查等优势,可以早期发现,及时干预,及时治疗,对小儿颅内情况诊疗具有很大的临床指导意义。


五、颅脑超声可以诊断哪些疾病?

新生儿颅内出血、缺氧缺血性脑病、脑室周围白质软化、新生儿脑梗死、颅脑先天性异常、脑积水、颅内感染、颅内占位性病变、颅脑血管病变等。


来源:超声诊断科  刘会苗

宣传科编辑整理

Baidu
map