最近,56岁的李大爷反复出现
右侧肢体无力,行走不稳 症状

于是到郑州大学第五附属医院就诊
神经内科三病区对病人完善相关检查
诊断为短暂性脑缺血发作、左侧颈内动脉重度狭窄
辅助检查
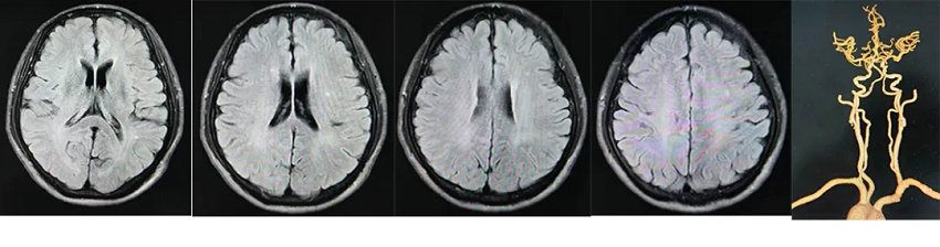
颅脑MRI平扫+DWI:
MRI未见新发梗死灶,左侧基底节区可见陈旧性腔隙性脑梗死,轻度脑白质脱髓鞘。
头颈联合CTA:
双侧颈内动脉多发混合斑及钙化斑,起始段管腔重度狭窄。

在经过详细了解患者病史,对患者病情进行深入讨论与分析后,神经内科三病区介入团队制定了缜密的介入治疗方案,与李大爷及家属进行充分沟通后,神经内科三病区介入手术团队为李大爷开展左侧颈内动脉支架置入术。
全麻下行全脑血管造影:
右侧颈内动脉起始段中度狭窄,狭窄率约为55%,左侧颈内动脉起始段重度狭窄,狭窄率约为90%。

脑保护伞下颈动脉支架置入术

手术过程顺利,手术后无并发症发生,术后5天内李大爷右侧肢体无力未再犯,李大爷随即出院。
科普时间
短暂性脑缺血发作(TIA)和急性脑梗死都是临床急症,颈动脉系统TIA表现为视网膜或大脑半球神经功能缺失,症状在24小时内消失。李大爷此次住院即为TIA,经过检查,考虑颈动脉狭窄为此次发病的病因。颈动脉狭窄是一种常见内的疾病,多由于动脉粥样硬化、动脉炎、动脉夹层等导致血管管腔狭窄,可导致脑卒中或短暂性脑缺血发作。
目前针对颈动脉狭窄,有以下几种检测方法:颈动脉超声、CT血管成像(CTA)、磁共振血管造影(MRA)、脑血管造影(DSA)等,其中DSA为检查的金标准。
颈动脉狭窄的常用治疗方法包括内科药物治疗、介入微创手术治疗,及外科手术治疗。
郑州大学五附院神经内科三病区介入团队长期开展脑血管狭窄、脑血管闭塞、颅内动脉瘤、颅内静脉窦血栓及脑动静脉畸形等脑血管病的诊治及介入治疗。
图片:以上网络图片如若涉及侵权行为,请联系我们,我们将第一时间删除
来源:神经内科三病区 丁炫景 石伟伟
党委宣传科编辑整理