很多孕妈怀孕后都会发现“腿变粗了”
下肢肿胀是孕期常见的现象
但有一种孕期的腿肿
却可能是血栓——下肢深静脉血栓形成
若不及时处理,很可能危及生命
孕期小腿肿胀,小心这一隐形杀手
张女士和她的爱人
已有2个孩子的情况下
再次怀孕
是多么幸福的事情

1周前张女士无明显原因
出现左小腿肿痛
作为已有生育经验的孕妇
自觉应该是怀孕期间正常情况
于是自己在家调养

肿胀的第2天感觉大腿内侧些许疼痛
便去当地的推拿诊所进行推拿治疗
哪成想推拿、按摩了几天
下肢肿胀、疼痛不但没有缓解
反而更严重了
大腿内侧疼痛逐渐延续到腹股沟处

这下张女士慌了神
赶紧和家人来到血管外科
经过查体、询问病史


超声检查报告

血液学检查
初步诊断:
下肢深静脉血栓形成(混合型)
肺栓塞(待查)
患者病情危急
保守治疗,肺栓塞风险极高,若再有血栓脱落,导致致命性肺栓,很可能出现意外情况。
若手术治疗,那么DSA透视下,将无法继续保胎。
与家属及患者沟通后
选择放弃保胎
要求急诊手术治疗
术中先从一侧
放置滤器于下腔静脉
之后应用导管至肺动脉造影
发现左肺主干栓塞
之后由腘静脉入路对患肢
进行抽栓、球囊扩张
复查造影左侧髂静脉、
股静脉官腔通畅
术后患者下肢肿胀明显缓解,很庆幸患方选择手术治疗,因为年轻,身体代偿比较好,患者并无胸闷、气短等肺栓塞表现。若再有血栓脱落,那么结果会不容乐观。

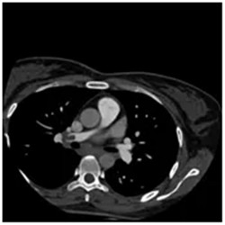
术后患者复查
肺部CTA已有部分再通
下肢静脉彩超提示
下肢静脉管腔通畅
下肢深静脉血栓形成是患者下肢深静脉内血液流通受阻出现凝结致使静脉血液回流障碍,是常见的血管外科病, 如果不能得到及时的治疗将并发出现血栓形成后综合征,严重并发症可形成致死性肺栓塞。常常由于患者手术、分娩、肿瘤晚期以及长期卧床等因素引起。该病发症起病急,容易误诊而危及患者生命,是导致患者突发死亡的重要原因,因此及时有效地治疗下肢深静脉血栓形成意义重大。
如果出现下肢不明原因肿胀,一定要去正规医院进行诊治,明确病情,做到早发现、早治疗,避免导致致命性肺栓塞发生,造成遗憾。
(部分图片素材来源网络,侵权即删)
来源:血管外科
党委宣传科编辑整理