很多中老年人
经常担心自己脑血管不通
怕患上中风等脑血管病
医学技术这么发达
有什么办法可以在不开刀的前提下
检查一下自己的脑血管情况呢?
在这里
跟大家分享一个常用的脑血管检查方法
——脑血管造影

造影设备

导管室造影
01脑血管造影是什么?
怎么“造”?
脑血管造影是目前广泛应用于临床的一种x线检查技术。一般通过右侧股动脉或者右侧桡动脉,放置一个动脉鞘,通过该动脉鞘选择不同的导管,在导丝的引导下,选择需要检查的动脉血管,注入含碘造影剂。通过DSA机快速连续摄片和处理,清晰显示脑血管的形态以诊断脑血管疾病的方法。
DSA图像


就好比给脑血管拍了张照片,清晰明了,根根分明。
02做脑血管造影有什么意义?

脑血管造影可以显示颈动脉、椎动脉、颅内血管的完整形态及改变,如狭窄、梗塞、动脉瘤、血管畸形、痉挛、扩张、出血、占位病变等,动态显示脑循环全时程及血管代偿情况。帮助医生准确地了解血管病变的数目、位置、大小、形态、与周围血管的关系,便于预测疾病的发展、出血、梗死的风险等。为预防、治疗脑血管疾病提供依据。因此,是脑血管疾病诊断的“金标准”。
03哪些人需做脑血管造影呢?
(1)突发脑出血,原因不明,疑有动脉瘤或脑血管畸形的患者;
(2)突然发生的一侧肢体无力、口角歪斜而短时间恢复的患者或者症状不能恢复24小时以内的患者;
(3)脑血管疾病的诊断和疗效随访,如:动脉瘤、动静脉畸形、硬脑膜动静脉瘘、烟雾病、静脉窦狭窄或阻塞等;
(4)有糖尿病、高血压、高血脂等脑动脉硬化高危因素的患者,反复头晕头痛,怀疑有大脑动脉狭窄或闭塞。
(5)了解颅内肿瘤的血供情况,如脑膜瘤、颈静脉球瘤患者等。

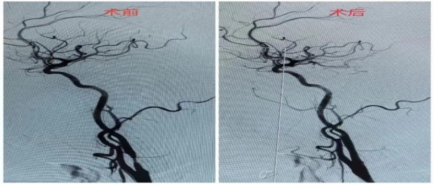
▲ 颈动脉支架植入术前后DSA图像
04脑血管影需要开刀吗?那些患者不适宜做造影?
(一)微创检查
脑血管造影是一种微创检查,伤口大约有1-2mm,无需缝合,一般2-3天即可愈合。
(二)术前评估
术前评估特别重要,不适宜做造影的患者主要有以下几种:
(1)碘过敏或造影剂过敏;
(2)金属或造影器材过敏;
(3)有严重出血倾向或出血性疾病,血小板下降;
(4)有严重心、肝、肾功能不全,血肌酐>250mol/L;
(5)全身感染未控制或穿刺部位感染;
(6)并发脑疝或其他危及生命的情况。
05脑血管造影术中会痛吗?
术中为局部麻醉,病人意识为清醒状态。术中打造影剂时病人会感到头部或颈部发热等,但持续时间仅1-2秒钟。
06脑血管造影的术前准备及术后注意事项有哪些?
手术前一天:
(1)护士进行手术区域皮肤准备,如备皮,指导患者在床上练习大小便。
(2)清洁会阴部,更换清洁的病员服。
(3)在左上臂建立静脉留置针通道。
手术当天:
(1)局麻患者一般不需要禁食,进食易消化饮食。采取全麻的患者要求空腹,禁食禁水的时间应超过8小时。进入手术室前要排空大小便。
(2)不可佩戴首饰,贴身穿病员服,切勿穿内衣等。
(3)造影时患者保持安静,不要随意转动头部及吞咽口水。
(4)造影结束时,医生会常规压迫穿刺部位15分钟左右并加压包扎,患者需平卧24小时,并保持穿刺下肢制动6-8小时,而经桡动脉造影则不需要严格卧床休息。同时、增加饮水量,利造影剂排出。术后如无呕吐、恶心等不适即可适量进食。24小时内尽量不吃容易引起腹胀的食物:如牛奶、鸡蛋等。
(部分图片素材来源网络,侵权即删)
来源:神经内七病区 王新华 吕彦玲
党委宣传科编辑整理