牛老汉今年75岁,有多年慢性咳嗽、咳痰症状。1月前咳嗽咳痰加重,在当地医院经抗感染治疗效果差,拍胸部CT检查发现左上肺巨大团块状软组织影(9cmX6cm),当地医生考虑恶性肿瘤可能性大,建议肺穿刺检查,家属考虑到患者年龄大、存在基础疾病,拒绝了该检查。
牛老汉及家属惴惴不安,后听说郑州大学第五附属医院在肺部疾病诊疗方面技术领先,已开展无痛气管镜技术10余年,一家四口便开车300余公里来到全科医学科就诊。
全科医学科别柏林医师接诊后,仔细检查病人及阅片后,考虑患者年龄偏大伴焦虑状态,建议行无痛支气管镜检查,并详细告知了检查流程,经患者及家属同意,全科医学科负责人刘培杰主任医师第一时间给予无痛支气管镜活检,活检病理结果及结核-DNA检测均明确诊断为肺结核病,排除肺恶性肿瘤。看到诊断结果后,牛老汉女儿激动地说:“郑州大学五附院的技术太好了,真的太谢谢你们了!”


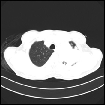
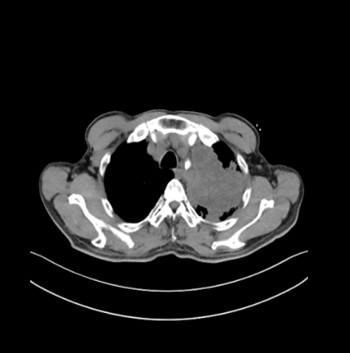
胸部CT示左上肺占位
01.什么是支气管镜检查
支气管镜是一种带光源和镜头的软镜,通过鼻或口置入患者下呼吸道,用来进行肺和气管、支气管病变的观察、痰液吸取、活检采样、腔内肿瘤切除、瘘口封堵、气管内支架置入等,也可用来做细菌学和细胞学检查,配合外接的电视系统可进行摄影和记录,是一项重要的检查和治疗手段。做支气管镜检查有一定的不适感。

02.什么是无痛支气管镜
无痛支气管镜:麻醉医师给予患者镇静、镇痛等药物,让患者在睡眠状态下就能完成支气管镜相关诊疗,让患者不再谈“镜”色变。

刘培杰主任医师进行无痛支气管镜教学
03.无痛支气管镜的优势是什么
舒适:检查过程舒适,清醒后无不良记忆,无恐惧感。
安全:麻醉医师全程守护,全方位保障生命安全。
便捷:静脉麻醉药物起效迅速,作用时间短,检查后恢复迅速。
无痛支气管镜检查前注意事项
1.检查前2小时可饮用清饮料200-300ml(有胃潴留、肠梗阻患者除外),清饮料包括:白开水、糖水、脉动、可口可乐、雪碧等。
2.高血压患者于检查当日清晨六点服用降压药物(可用少许温开水送服)。
3.有血友病、凝血功能障碍的患者及近期服用阿司匹林、氯吡格雷、华法林等抗血小板、抗凝血药物需要提前告知。
4.感冒、发烧等请告知。
5.检查前需要明确告知既往病史以及过敏史。
6.操作当天必须有陪同人员。
无痛支气管镜检查后注意事项
1.候诊区休息半小时以上,无头晕、嗜睡等不适症状后,在陪同人员的陪同下方可离去,若出现不适,请立即就医。
2.完全清醒后2小时后可进少许无渣水,没有不良反应,可进食流质,逐渐恢复正常饮食。
3.24小时内不得单独外出,24小时内不得驾驶机动车、乘坐电动车以及高空作业、签署重要文件等工作。
(部分图片素材来源网络,侵权即删)
来源:全科医学科 别柏林 李海燕
党委宣传科编辑整理