郑州大学第五附属医院

郑州大学第五附属医院
搜索按钮
进入适老模式
信息公开
医学科普
首页>信息公开>医学科普

声音嘶哑半年不愈,他确诊这种癌!有这些症状抓紧就诊......

发布时间:2024/9/13文字调整

最近处于换季时节,昼夜温差大,

不少人因为上火、感冒、用嗓过度等情况

出现声音嘶哑


声音嘶哑是耳鼻咽喉科门诊很常见的症状,

是发音时声音失去正常的圆润清亮音质,

变得沙哑不清的现象。


最近马先生就遇到了这个问题,

他声音嘶哑已经半年了,

一直以为是上火了,

没有在意,没想到声音嘶哑越来越重,

在家人的劝说下来医院就诊,

喉镜检查却发现了大问题,

原来是声带长东西了,

并且怀疑是恶性肿瘤,

活检后马先生被确诊得了喉癌。


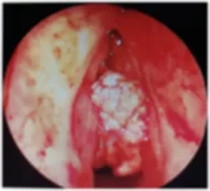
640_副本

▲ 马先生的右侧声带长满了不规则粗糙的肿物,病理证实是恶性肿瘤


其实

喉癌是仅次于肺癌的第二大呼吸道癌症。

它和咽炎症状十分相似,如何区分?

如何治疗可以提高生存率?


01喉癌的类型

声门型喉癌:病人可因肿瘤而出现声音嘶哑现象,通常容易在早期发现。


640 (1)_副本


声门上型喉癌:病人早期可能无任何症状,部分病人有异物感,随着肿瘤长大逐渐出现咽痛、吞咽困难,甚至呼吸困难等症状。


640 (2)_副本


声门下型喉癌:早期症状不明显,部分病人可能会有咳嗽,甚至咳痰带血情况。随着肿瘤长大,侵犯声带,病人可出现声音嘶哑。


640 (3)_副本


02喉癌有哪些症状

声音嘶哑:是声门型喉癌的典型表现,主要因为声带本身的占位导致声门闭合不佳。早期发声易倦或声音嘶哑,可能误认为感冒、喉炎。

咽喉部异物感:声门上型喉癌多以咳嗽、疼痛、血痰、咽喉部不适感及异物感为早期症状,早期时和慢性咽喉炎不易区分。

咽痛:肿瘤向深部侵犯可出现咽喉部疼痛。

痰中带血:喉癌肿瘤破溃时,可出现咯血或痰中带血。

呼吸困难:声门裂是呼吸道最狭窄的部位,当肿瘤较大时可阻塞喉腔引起呼吸困难,呼吸困难常为喉癌晚期症状。

颈部肿块:喉癌发生颈部淋巴结转移时,出现颈部无痛性肿块。


03喉癌的致病因素有哪些

喉癌的发生至今无确切定论,可能与吸烟、饮酒、病毒感染、环境因素等因素有关,常为多种致癌因素协同作用的结果。

1、吸烟:多数喉癌患者有长期吸烟史,烟草燃烧产生的苯并芘有致癌作用 。

2、饮酒:饮酒也是发生喉癌的一种独立危险因素,饮酒者患喉癌的危险性比非饮酒者明显增高,当吸烟与饮酒共同存在时,会发生相加重叠致癌作用。

3、病毒感染:成年型乳头状瘤是人乳头状瘤病毒引起的病毒源性肿瘤,是喉癌的癌前病变。

4、性激素:喉癌的发生可能与性激素有关,男性发病率显著高于女性,可能与体内雄激素的水平高低有关。

5、环境因素:污染的环境、工业粉尘可能导致呼吸道肿瘤。


04喉癌怎么预防

1、戒烟:吸烟是喉癌最重要危险因素,控制烟草摄入为预防喉癌的重中之重。

2、控制饮酒:酒精已被确认为致癌因素,饮酒量应适当控制。

3、健康饮食、作息规律、坚持运动:饮食和营养是癌症风险的重要因素,合理饮食、适当运动可预防疾病,减少慢性病患病风险。

4、定期体检:健康的身体,除了保持良好的生活习惯、乐观的生活态度,定期体检也是非常必要的,如有身体不适,及时就医。


特别注意

喉癌的发生发展是一个慢性过程,中老年男性是高发人群,因此,年龄40岁以上的男性,出现声音持续嘶哑,经规范治疗无缓解,需要警惕恶性肿瘤的可能,应及时到医院就诊,行喉镜检查排查喉部病变,特别是长期吸烟、饮酒的人,发现说话声音有改变时必须引起警惕。


(部分图片素材来源网络,侵权即删)

来源:耳鼻咽喉科一病区  王海威

党委宣传科编辑整理

Baidu
map