郑州大学第五附属医院神经外科二病区在神经内科、神经电生理科、医学影像科、儿科、手术部·麻醉科等多学科协作下成功为一位药物难治性癫痫患儿实施了大脑半球麻醉试验(WADA),填补了该领域省内的空白(此前该试验在省内未见相关报道)。标志着医院在评估脑功能区方面又掌握了一项“利器”,也为今后河南省癫痫病系统化诊疗中心工作中术前评估提供技术保障,为更多癫痫患者提供优质高效的医疗服务。
术后回访患儿癫痫未再发作,患儿父母对医院的治疗效果非常满意,对郑州大学第五附属医院医护团队表达了衷心感谢。
12岁的阳阳本来是一位活泼开朗、帅气阳光的大男孩,8岁时一次无明显原因的意识丧失、四肢抽搐、口吐白沫、全身强直阵挛发作,让他从此长期与抗癫痫药物为伴,成绩开始下滑,整个人也失去了往日的风采。
从开始每月1次的发作到每天3-4次的发作,让阳阳父母整天处在焦虑中。孩子父母曾辗转国内许多医院,因手术的话风险极大,均采用药物治疗方案,阳阳只能不断调整药物剂量和增加药物种类。
可眼见着孩子越来越大,日常生活受到极大影响。药物不断增加,病情却未见明显好转,而且越来越重。孩子父母在病友介绍下,听说郑州大学第五附属医院是河南省癫痫病系统化诊疗中心,癫痫疾病的诊疗是特色,尤其是难治性癫痫,拥有丰富的临床经验和高精尖技术设备,遂来到医院进一步诊疗。
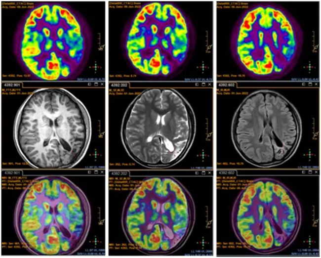
接诊医师为神经外科二病区李信晓博士,通过详细询问病情后,在李培栋主任医师指导下,首先完善颅脑影像学检查和脑电图检查,发现患儿左侧额下回、颞上回、颞中回、颞下回、颞横回、缘上回、角回、顶上小叶、楔前叶、视放射、枕外侧回等广泛受累,大面积软化灶和发育不良等表现。
对于绝大多数人来说,左侧大脑半球是语言和记忆的优势半球,上述任何部位出现问题都可能会影响语言、运动、记忆及视力等。患儿是双利手,年龄小,症状重,药物难治,对于查找引起癫痫的真正病灶难上加难。于是迅速组织癫痫多学科会诊(MDT)和疑难病例讨论,经多位专家对影像分析、脑电图判读、发作临床表现和用药情况,决定为阳阳进行外科手术治疗。
为什么要做WADA试验?
首先需要评估患者的左侧大脑半球功能。尽管目前的MRI、fMRI、PET-CT、MEG及影像多模态、后处理技术可以评估脑功能变化,但对于癫痫患者优势半球的记忆评估,以上无创检查手段仍无法满足。而Wada试验被认为是确定记忆和语言优势半球的“金标准”。与患者家属沟通后,决定采用丙泊酚代替异戊巴比妥为患儿进行Wada实验。
科普
什么是WADA试验?
Wada试验(颈内动脉异戊巴比妥试验,IAP)是由日本医师John Wada于1949年首次报道并应用于临床,通过麻醉一侧大脑半球,评估患者的运动、语言及记忆功能,特别是记忆功能评估的金标准,为预测和避免术后出现记忆和语言功能障碍提供不可替代的信息。此外,可协助致痫灶定侧,已成为大脑半球切除术、前颞叶切除术或功能区癫痫病灶切除术患者术前一种重要的评估方法。Wada实验不仅用于难治性癫痫优势半球的评估,同时在肿瘤、脑血管疾病等病人中也有更广泛的应用。

WADA试验绝非易事!
因为WADA试验需要患者在清醒状态局部麻醉下进行,前期进行了多学科会诊讨论,制订具体实施方案。因试验时间较长,如何安抚患儿安静卧床;麻醉药物注射后患儿能否完全配合语言和运动的评估;如何应对患儿术中可能出现癫痫大发作等诸多问题,因此WADA试验确实绝非易事。
通力合作,手术成功
整个操作流程由李培栋主任医师全程指导,检查过程持续1小时40分钟。在复合手术室进行脑血管造影,全程脑电监测,阳阳在全体医护人员的安抚和保护下,完美配合了试验检查,通过评估取得了可靠结论,手术及WADA试验的成功为其后期诊疗方案的制定提供了非常重要的参考信息。术中对患儿进行运动、语言、记忆等评估,证实患儿语言和记忆功能已经部分转移。

确定患儿左侧半球功能后,由于左侧还有部分功能,为了尽可能减少对功能区的损伤,李培栋主任医师决定为患者进行立体定向脑电图(SEEG)电极植入。根据患者长程脑电记录、影像脑网络分析和临床表现,共计选择10根电极置入,精准记录致痫灶,在SEEG精准定位下,最终切除病灶。

来源:神经外科二病区 李信晓
党委宣传科编辑整理