在癌症领域,胰腺癌素有“癌中之王”的称号,因早期诊断困难,大部分患者就诊时已是晚期或局部进展期,常常因主要血管受侵而丧失手术机会,生存时间短,有的甚至仅2个月的时间,是预后最差的恶性肿瘤之一。
2014-2024年数据表示,胰腺癌的5年相对生存率仅为 7.2%,在所有癌症中倒数第一 。近年来,胰腺癌发病率持续上升,居常见癌症死因的第4位,消化道癌症死因的第2位。目前胰腺癌在医学领域仍是一个世界性难题,尤其对于局部进展期胰腺癌,更是缺乏有效的治疗方法。放化疗是大部分患者的主要治疗手段,其治疗敏感性低,纳米刀消融技术通过高强度脉冲电场不可逆性地破坏细胞膜,杀灭肿瘤细胞,是近年来新兴的肿瘤消融方法,已被证实在安全性和疗效上优于传统治疗方式。


近日,郑州大学第五附属医院肝胆胰腺外科陈艳军主任团队成功为一例高龄胰腺癌患者实施了纳米刀消融手术,局部肿瘤消融效果显著,肿瘤标志物明显下降,患者身体恢复后出院。
病例回顾
白先生今年85岁,因“发现胰腺占位性病变1周”到医院寻求帮助。1周前患者于当地医院体检,查肝胆胰脾超声,提示胰腺占位性病变,考虑胰腺癌可能。
白先生听到这一消息,如同晴天霹雳,便在网络上查询相关资料,得知需要行胰十二指肠切除术,手术切除脏器多,创伤大,白先生更是害怕不已,了解到郑州大学第五附属医院肝胆胰胰腺外科在纳米刀消融治疗胰腺癌方面的成功案例,便慕名找到肝胆胰腺外科陈艳军主任。
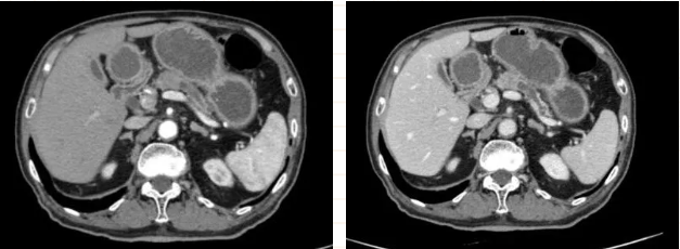
陈艳军主任团队在了解情况后,将白先生收治入院,并进一步完善相关检验检查。上腹部增强CT检查示:胰体部乏血供占位,较大横截面约1.8*1.6cm,伴周围稍大淋巴结,考虑恶性胰腺癌,以远胰管扩张。

陈艳军主任指出:患者胰体部恶性肿瘤诊断明确,无周围血管及脏器侵犯,建议手术根治性切除,但考虑到患者85岁高龄,加上恶性肿瘤可能导致的血液高凝状态,形成血栓的风险很大。另一方面,患者既往心脏搭桥及支架置入病史,基础疾病较多,将病情与家属详细沟通,家属经过认真考虑,拒绝根治性切除,结合纳米刀消融手术创伤小,风险低,恢复快的特点,最终选择通过纳米刀消融进行治疗。
为保证手术顺利实施,团队综合评估病情,制定了周密的治疗方案,决定为白先生腹腔镜探查后行“经皮胰腺病损纳米刀消融术”。
经过积极术前准备,在手术部•麻醉科胡强夫主任麻醉团队及手术室刘丹丹护士长护理团队的配合下,由陈艳军主任主刀,程冰冰主治医师,李想医师作为助手的手术团队为患者实施胰腺癌纳米刀消融术。术中精细分离血管组织,充分暴露病灶,使用超声探查明确肿瘤大小、形态与周围重要结构关系,将超声探查所得数据输入纳米刀系统,制定消融方案,在超声引导下精准布针,充分暴露肿瘤组织,对其进行多角度多点消融,确保对肿瘤瘤体及周围可能浸润的组织进行充分毁损,尽可能杀灭肿瘤细胞,合理布针一次消融完成后,适当退针,多次消融完毕再次通过超声评估消融范围满意。术中实时心电监测,患者各项生命体征平稳,无明显出血。


术毕,消融系统显示消融效果良好!


术后密切监测患者的生命体征及各项常规、生化、肿瘤标记物等指标,未见肝功能异常、胆瘘、胆道狭窄、胰瘘、肠瘘、急性胰腺炎等并发症,影像学提示肿瘤已消融完全,肿瘤标志物较前下降明显。经过林磊护士长团队精心护理及积极术后康复治疗,白先生目前恢复效果良好,整个人精神面貌焕然一新。

▲ 术后肿瘤标志物CA19-9变化情况
健康科普

1胰腺癌有什么症状?
1.腹痛:早期常伴有中上腹饱胀不适、隐痛,随着病情进展还会出现腰背疼痛。
2. 体重减轻,食欲不振,衰弱无力。
3. 黄疸,这是胰腺癌的重要症状,主要由于肿瘤侵犯或压迫胆总管下段所致。
4. 糖尿病症状,由于肿瘤导致胰腺内分泌功能下降,胰岛素分泌不足所致,或者使得原有的糖尿病症状加重。
5. 其他消化道症状,消化不良导致的腹泻或者便秘、嗳气,若肿瘤侵犯导致胃和十二指肠出现糜烂或溃疡可能会导致消化道出血。
2胰腺癌的高危因素

3纳米刀消融的原理和优势
1.原理:不可逆电穿孔消融技术(IRE)俗称“纳米刀”,是一种不依赖热量形式的新兴肿瘤消融技术。其利用微创电极传递毫秒级电脉冲,形成包绕肿瘤的电场,电场能量作用在细胞膜的磷脂双分子层上,使细胞表面出现多个纳米级的孔道,导致细胞膜渗透压升高,细胞液流出,当脉冲能量超过某个电场阈值时,造成不可逆的细胞损伤,引起细胞凋亡,该技术具有保护神经、腺体、胰管、大血管及胆管结构不受损伤的重要特点,因此,IRE技术是治疗邻近或包绕腹腔、肝门静脉及胆管等重要管腔的不可切除胰腺癌的一种重要选择。大量临床研究结果表明,纳米刀治疗胰腺癌可以延长患者生存期,为患者提供生的希望!
2.优势:众多临床研究表明,纳米刀是一种安全而又高效的肿瘤治疗技术,与其他肿瘤治疗技术相比,它具有:①消融时间短;② 治疗区域的血管、神经等重要组织得以保留;③不受热岛效应影响;④治疗彻底,治疗边界清晰;⑤治疗区域可恢复正常功能;⑥消融效果可实时监控;⑦可适应更多复杂的病情。从而减少其他传统消融方式所伴有的并发症,因此对毗邻大血管、胆管、胰管等重要结构的局部进展期胰腺癌、肝门部胆管癌等特殊位置肿瘤的治疗具有独特优势。
郑州大学第五附属医院肝胆胰腺外科于2015年引进纳米刀消融技术,作为率先引进该技术的三甲医院,在治疗复杂肝胆胰腺恶性肿瘤方面具有丰富经验,现已治疗局部进展期胰腺癌、肝门部胆管癌患者数以千例,开展例数位居全国前列,已经有来自全国多个省份的患者相继在此接受了纳米刀消融治疗,术后患者生存期明显延长。
(部分图片素材来源网络,侵权即删)
来源:肝胆胰腺外科 赫林涵 王英杰 费猛
党委宣传统战部编辑整理