买买提
是新疆维吾尔自治区库尔勒市的一位70岁的老先生
两个月前
就出现了活动之后胸闷、气短的症状
偶尔还会有一阵阵的
心前区压榨样的疼痛
停下来休息几分钟之后
上述的一些症状就会慢慢的缓解
近半月以来,买买提的胸闷、气短的症状逐渐加重,以前走个四五百米才会犯病,现在只走了二三十米就会出现胸闷气短的症状,心前区的疼痛频率也明显变多。
为此,买买提的家人带着他去了当地医院,当地医院为他进行检查后,诊断考虑是胸腔积液,给予对症治疗后胸腔积液差不多消失,之后买买提就高兴的出院了。
谁知道回到家之后,买买提依旧稍活动一点就会出现胸闷气短的症状,还是会偶尔的有心前区的疼痛感。买买提的女儿古丽为此十分担心。
古丽的朋友在听说这件事情之后,就为他推荐了郑州大学第五附属医院心血管内科三病区的董守仁主任医师和郭晓亮主治医师,在经过一些了解之后,古丽决定带着买买提来到郑州看病。
来到郑州之后,买买提一家在古丽朋友的带领下,赶快来到了郑州大学第五附属医院,正赶上郭晓亮大夫当天值班。郭晓亮大夫在详细的询问病史之后,随即就判断出买买提应是因为冠心病合并心力衰竭引起来的症状。
在办理住院之后,郭晓亮大夫为买买提安排了急查血。二十分钟之后,郭晓亮大夫拿到了买买提的BNP结果之后确认了自己的判断,买买提的Nt-ProBNP超过了15000pg/ml。确认了自己的判断之后,郭晓亮大夫为买买提详细的安排了治疗方案:先纠正心衰,在心衰纠正、病情平稳之后择期行冠脉造影+必要时介入治疗。
在经过三天左右的纠正心衰的治疗,买买提的Nt-ProBNP降到了3279 pg/ml。又经过了几天的稳定期,郭晓亮大夫为买买提安排了冠脉造影。

术前董守仁主任医师查看病人
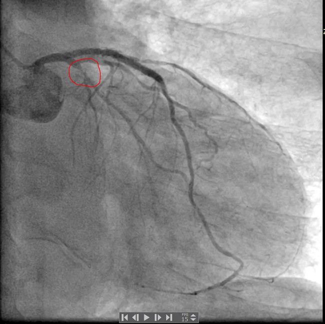
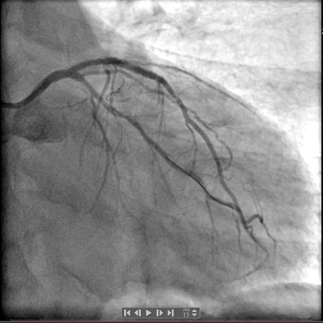
冠脉造影结果显示:左主干未见明显异常,前降支近中段可见支架影,近段支架内狭窄50%,前向血流TIMI3级;回旋支近段次全闭塞,前向血流TIMI2-3级;右冠中段弥漫性狭窄,最重处狭窄95%,前向血流TIMI3级。


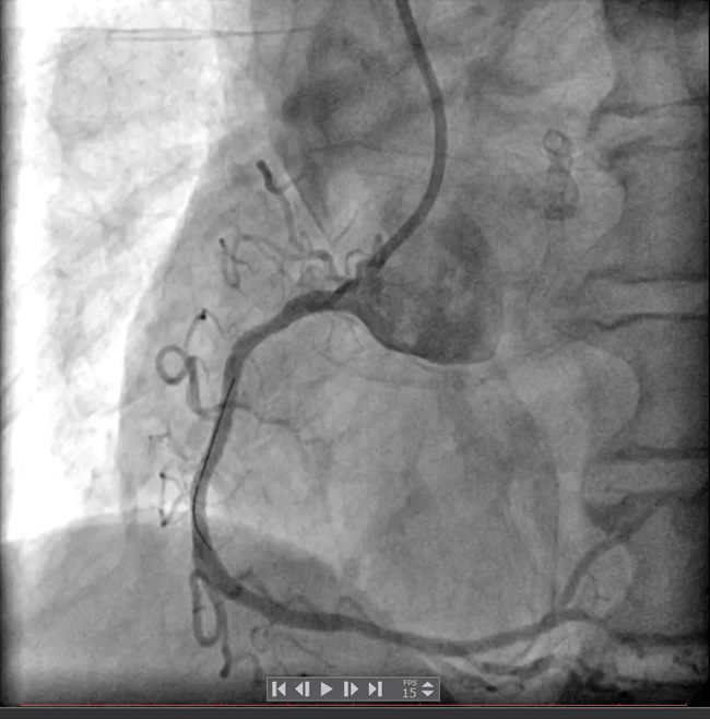
最终由手术医师为买买提做了介入治疗:右冠置入支架1枚,回旋支置入药物球囊1枚。


手术之后,经过两天的观察期后买买提恢复到了以前正常时候的活动耐量,高高兴兴地出院了。
十多天后,古丽再次出现在了心内三的病房里,郭晓亮大夫在见到她的时候还疑惑,难道是买买提的病又犯了,在问过之后原来是古丽带着她的婆婆又来看病了。
信任是治愈一切伤口的良药
对于医务人员来说
被信任是一种幸福,更是动力
你给我一份信任
我还你一份责任
是医患之间最美的双向奔赴
你远道而来,我们更要不负期待
医患之间的信任做桥梁
让这辛苦的求医之路上充满了爱的力量
来源:心血管内科三病区 苏艳东
党委宣传统战部编辑整理