
近日,郑州大学第五附属医院神经外科一病区成功为一名患者完成了二期脊髓神经刺激电极及刺激器植入手术(颈部不开刀、通过穿刺技术将两根电极置入高颈段),术后开机效果满意,此项手术为医院首次开展,实现了昏迷促醒手术创伤小、手术时间短,家属易接受的新突破。
29岁小王
一个家庭的顶梁柱,
说倒下,就在一瞬间!
2024年6月22日夜间,小王突发剧烈疼痛、呕吐,逐渐呼喊不应答;家属紧急呼叫当地120接入当地医院,噩耗传来:“急性大量脑内出血,需紧急手术治疗才可能挽救生命,”当地医院神经外科医生顺利完成了开颅清血肿及去骨瓣减压手术;术后病情危重,持续昏迷、咳痰困难、肺炎严重、给予了气管切开;家属治疗愿望迫切,经多家医院咨询、打探,最后通过网络搜索到关于郑州大学第五附属医院神经外科一病区寿记新主任医师团队昏迷促醒的报道,于2024年7月4日患者转入该病区进行治疗。


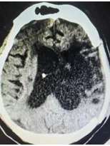
▲ 左图入院CT;右图颅骨修补及脑室分流术后复查CT
01第一阶段治疗
稳定病情后,(高压氧、中医中药、促醒西药、气管镜吸痰、无创神经调控等治疗)共2月余,患者肺炎逐渐稳定、交感神经过度亢进发作次数减少、颅压下降,生命体征稳定;但患者昏迷评分仍很低、重度异常脑电图。
经传统促醒手术:颅骨修补手术、脑积水分流手术,再次复查脑功能磁共振、昏迷脑电图评估后,昏迷评分较前提高。经科室讨论,神经外科一病区寿记新主任总结指出:该患者可先行短时程脊髓电刺激手术治疗,若治疗效果明确,可行二期电极及刺激器永久植入。2024年11月13日,小王完成了短时程脊髓神经刺激测试电极置入手术。
02第二阶段治疗


▲ 短时程脊髓电刺激电极置入术,正侧位透视片
03第三阶段治疗
经历1个月的短时程脊髓电刺激及综合治疗,患者疗效确切昏迷评分及脑电图意识分级较前均提高,寿记新主任指出:该患者已行多次颅脑手术,二期脊髓电刺激手术一定要创伤最小化,可选择穿刺技术将两根电极线植入高颈段。2025年1月7日,在复合手术室,寿记新主任医师主刀,在王建业副主任医师、管海博医师、屈罡生麻醉医师、孙楹电生理监测医师、郭瑜护师共同努力下,顺利完成了二期脊髓神经刺激电极及刺激器植入术,此手术方式比起颈后部开刀打开椎板植入外科电极,创伤小、手术时间短、可提前刺激器开机,更易被家属接受,为患者尽早拔除气管套管、意识恢复奠定了良好基础。

▲ 二期高颈段2根刺激电极及神经刺激器永久植入后正侧位透视

▲ 术中刺激器开机测试,电生理监测

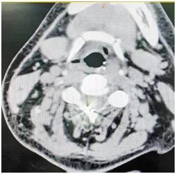
▲ 术后复查CT,电极位置正常
术后3天神经刺激器已顺利开机,患者耐受性良好、可睁眼、临床症状逐渐好转,患者家属倍感欣慰,目前患者仍在继续接受团队的综合治疗。
科普知识:
慢性意识障碍(prolonged disorders of conscious‐ ness, pDoC)是指由脑外伤、脑卒中、缺血缺氧性脑病等各类脑损伤所导致意识丧失超过 28天的病理状态, 可分为植物状态(vegetative state, VS)、无反应觉醒综合征(unresponsive wakefulness syndrome, UWS)、微意识状态(minimally conscious state, MCS) 。pDoC患者神经系统受损严重、伴有复杂的功能障碍和并发症,康复周期长且难度大。
意识障碍的治疗方法有哪些?
意识障碍的治疗为一项综合性治疗,目前尚无特效治疗方法。
1、药物治疗:临床显示一些药物可在意识障碍患者身上观察到暂时或长期的改善;
2、康复治疗:包括针灸、体位转换训练、被动关节活动、认知障碍训练、计算言语训练、多感官刺激治疗、音乐疗法、高压氧等;
3、传统促醒手术:颅骨修补手术、脑室分流手术;
4、无创神经调控治疗:经颅磁刺激、肘正中神经刺激等;
5、微创神经调控手术治疗:早期短时程脊髓电刺激手术和永久性植入脊髓电极及神经刺激器手术。
脊髓电刺激微创手术应用范围
1、严重颅脑创伤后、大面积脑梗、脑出血后、缺血缺氧性脑病、一氧化碳中毒等及其他原因导致的昏迷;
2、带状疱疹神经性疼痛、脊柱损伤术后顽固性神经痛、糖尿病周围神经病;
3、脊髓损伤所致高肌张力、大小便功能障碍、截瘫的辅助治疗等。
但是,各类神经调控手术均具备其自身优缺点,需要专科医生根据患者具体病情综合评估,科学选择治疗方式,为植物人促醒、瘫痪、疼痛患者提供最佳的治疗方案。
来源:神经外科一病区 管海博
党委宣传统战部编辑整理