一位执刀半生的外科专家,却在手术台上突遭视力骤降;面对鞍区3.5cm的致命肿瘤,他选择将生命托付给谁?这场惊心动魄的"医者自救"背后,藏着怎样的技术巅峰与医学温度?
顶级专家突发视力骤降
职业敏感促成及时确诊
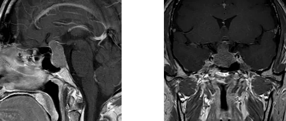
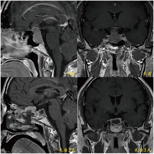
"眼前突然模糊的那一刻,我知道这不是疲劳。"作为河南省某三甲医院外科主任,刘主任(化名)在连续完成多台高难度手术后,敏锐察觉到自己双眼视野缺损。头颅MRI检查结果令人心惊:鞍区赫然盘踞着直径3.5cm的巨大垂体腺瘤,视交叉结构已被严重挤压变形。

顶尖团队成为最终选择
面对生死考验,刘主任做出了一个超乎寻常的决定:跨区域求医。
"寿记新教授团队在神经内镜领域的造诣有目共睹,特别是他们在鞍区肿瘤显微解剖的研究与技术积累,让我确信这里是最终选择。"作为深谙省内神经外科技术生态的同行,他深知这台手术背后需要怎样的毫米级精度。
"3厘米以上的垂体瘤即可定义为巨大肿瘤,而视交叉受压超过3个月将造成不可逆损伤。"郑州大学第五附属医院神经外科一病区主刀专家寿记新主任解释。这位常年拯救患者的医者,此刻比任何人都清楚——这是一场与时间的赛跑。
毫米级"刀尖舞蹈"
2小时破解生死困局
面对同行的性命相托,寿记新教授领衔的内镜颅底外科团队展现了专业风范。

20ml微量出血:完美避开颈内动脉与海绵窦出血风险
120分钟内:完整切除肿瘤
真正微创:经鼻蝶入路实现
术后首日视力飞跃
同行视角解密技术巅峰
0.3→0.8!
术后次日,刘主任手持视力表的声音有些颤抖。这位资深专家从专业视角给出震撼评价:"作为同行更能体会这台手术的含金量,从内镜入路角度的选择到肿瘤包膜的处理,每个细节都彰显着寿主任团队深厚的解剖功底和精湛的手术技艺。"

此次高难度垂体瘤切除术的成功实施,不仅让刘主任重获健康,也标志着医院神经外科在微创治疗领域已达到国内领先水平。近年来,科室作为河南省临床重点专科,不断引进和开展前沿技术,如4K超高清神经内镜技术、术中神经导航等,为垂体瘤等鞍区肿瘤的治疗提供了更加精准、安全、有效的手段。
"医者的至高荣誉,莫过于患者与同行的认可。"寿记新教授表示,“我们将继续践行'精准、微创、智能'的发展理念,以攻克颅底肿瘤治疗难题为己任,为广大患者提供更优质的医疗服务。”
垂体瘤作为一种常见的颅内肿瘤,虽然大多数为良性,但其对周围组织的压迫症状不容忽视。特别是当肿瘤压迫视交叉结构时,会导致视力下降、视野缺损等严重后果。因此,早期发现、早期治疗至关重要。

神经内镜技术作为微创神经外科理念的突出代表,以其创伤小、安全度高、恢复快和费用低等优点,在垂体瘤等鞍区肿瘤的治疗中发挥着越来越重要的作用。通过鼻腔这一自然通道进行手术,不仅避免了开颅手术带来的巨大创伤和风险,还使得手术过程更加直观、精细,大大提高了手术的成功率和患者的生存质量。
郑州大学第五附属医院神经外科团队在神经内镜技术的运用上积累了丰富的经验,已成功完成数百例垂体瘤内镜手术。
住院周期:平均住院日缩短至4.5天
费用降低:住院花费也比传统开颅手术大幅下降,惠及更多患者
术后效果:肿瘤全切率和神经内分泌功能保存率均达到国内外先进水平
来源:神经外科一病区 梁博
党委宣传统战部编辑整理