“医生,我这腰疼得受不了,坐着疼,站着也疼,晚上根本睡不成觉!”78岁的刘老太再次踏进医院时,已经被腰痛折磨了整整半年。
事情要从去年冬天说起。当时刘老太不小心摔了一跤,之后腰就开始疼。去医院检查,发现是“胸12椎体压缩骨折”——其实就是脊柱里的一节骨头被压扁了。可偏偏祸不单行,就在这时她又突发脑梗,家人都吓坏了,赶紧先治疗脑梗。
好在脑梗恢复得不错,但腰疼的问题却一直没解决,反而越来越严重。这次详细检查后,郑州大学第五附属医院骨科一病区接诊医生张鹏飞给出了一个让大家都很陌生的诊断——Kummell病。
可能很多人听说过“骨质疏松性骨折”,但Kummell病是什么?
其实,这种病就“隐藏”在很多中老年人的慢性腰痛里,特别是像刘老太这样,有过骨折却没及时规范治疗的老人,更容易中招。今天,我们就来好好认识一下这种容易被忽略的“特殊骨折”。
一、这种“特殊骨折”和普通骨折有啥不一样?
Kummell病有个很长的学名,叫“迟发性创伤后椎体缺血性坏死”。它有个关键特点——“无症状间隔期”+“延迟愈合或不愈合”。说白了,它是一种特殊的椎体压缩骨折,但和普通骨折最大的不同在于:它不会马上让你剧痛难忍。
刘老太的经历就很典型——摔跤后一开始没那么疼,隔了一段时间,腰痛才突然加剧。这正是Kummell病的特点:“先平静,后爆发”,而且骨折的地方自己很难长好。
这种病最喜欢找60岁以上的老年人,尤其是本身就骨质疏松的人。
二、如何辨别这种“隐藏的骨折”?别再当成普通腰痛!
很多老人一腰痛,就自己认为是“年纪大了”、“腰肌劳损”,贴贴膏药、吃点止痛药就对付过去了。结果往往耽误了病情。
如果您家老人有这些情况,一定要多留个心眼:
最近半年摔过跤、搬过重物:哪怕当时觉得没事,后来出现腰痛也要警惕。
腰痛“秋后算账”:受伤后一开始不怎么疼,几周甚至几个月后越来越疼,休息也不见好。
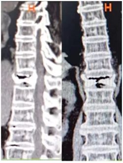
医院检查有特殊表现:普通X光片可能看不出什么,但CT或核磁共振检查会发现“椎体内有气体影”(医生称之为“椎体真空征”)。
三、万一得了怎么办?别等到疼得动不了才治!
治疗这种病的关键是:尽快让椎体稳定下来、缓解疼痛,防止椎体进一步压缩导致驼背。
根据病情轻重,主要有两种治疗方法:
1. 保守治疗(适合病情较轻的)
如果椎体压缩不严重、疼痛还能忍受,可以短期卧床休息(但不宜太久,否则肌肉会萎缩),在医生指导下用药止痛,同时补充钙片和维生素D。等疼痛好转后,还要做做腰背肌锻炼,比如“五点支撑法”。
2. 手术治疗(病情较重的首选)
如果疼得厉害,或者椎体压缩很明显,就像刘老太这种情况,就需要手术了。
现在常用的是微创骨水泥手术,刘老太就是接受了这种治疗。骨科一病区科主任徐明杰和张鹏飞主治医生往她骨折的椎体里注入了一种叫“骨水泥”的材料,凝固后就能把压扁的骨头撑起来,快速稳定脊柱、缓解疼痛。

▲ 术前CT

▲ 术后X线
这种手术伤口很小,恢复也快,大多数患者术后一两天就能下床活动,腰痛能明显缓解。
四、记住这两点,帮家里老人防住这种病!
预防Kummell病,其实就抓住两个关键:护骨头+防摔跤。
对老年人来说,做好抗骨质疏松治疗和避免意外摔倒,就能大大降低患病风险。
刘老太的经历给我们提了个醒:中老年人的腰痛从来不是小事,特别是那些有过外伤却没规范治疗的情况,一定要警惕这种“隐藏的骨折”。早点发现、早点诊断、早点治疗,才能让家里的老人少受罪,安享晚年的幸福生活。
来源:骨科一病区 张鹏飞
党委宣传统战部编辑整理