随着微创、舒适化治疗的理念和治疗要求日趋深入人心,激光辅助治疗已成为口腔医学发展中的一种新手段。为了给予口腔患者更舒适美好的治疗体验,郑州大学五附院口腔科引进了半导体激光治疗仪。

半导体激光作为一种软组织激光,波长为 800~980 nm,具有操作简单、术中术后出血少、视野清晰,患者疼痛小以及术后瘢痕小等优势。它利用光、电、热和生物刺激等多种效应,使许多繁琐的口腔疾病诊疗变得简单且疗效显著,大大减轻了患者术中术后的不适度。
半导体激光适用于多种口腔疾病的治疗
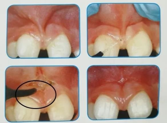
01.软组织手术
包括唇舌系带矫正术、种植牙二期手术、牙龈手术(牙龈切除、牙龈修形)、良性小肿瘤切除、口腔粘液腺囊肿以及白斑或扁平苔藓的切除。激光代替了传统的手术刀,切割更精确,术中不出血、视野清楚、不需要缝合,可以即刻进行下一步操作,术后反应小。术中可以少用甚至不用麻醉。由于激光有消毒作用,也同时降低了术后伤口感染的风险。


02.血管瘤和脉管畸形的治疗
利用激光能被血液中的血红蛋白选择性吸收从而凝固、变性来达到治疗目的,取代了传统的手术切除及硬化剂瘤内注射,从而降低了传统治疗方式导致的不必要的并发症。
03.颞下颌关节病的治疗
半导体激光的生物刺激效应可以有效缓解早期颞下颌关节病常见的疼痛及弹响症状,其穿透深度可达2-3cm,可缓解深部咀嚼肌的疲劳或疼痛。

04.激光牙齿脱敏治疗
牙齿受到温度(冷、热)、化学物质(酸、甜)及机械作用(摩擦或咬硬物)等所引起的酸痛症状称为牙本质过敏症。

传统的脱敏治疗存在疗效不确定或不持续的问题,而激光产生的热效应使牙本质小管内的蛋白质变性、凝固,从而堵塞牙本质小管,达到快速、高效且持续脱敏的目的。尤其对于各种传统脱敏治疗无效的患者有显著疗效。
05.激光牙齿美白
一口亮白的牙齿是每位爱美人士的追求。激光通过输出能量,激发事先涂抹在牙齿表面的美白凝胶,选择性作用于牙齿中的色素颗粒,催化凝胶使之与色素产生反应,达到牙齿脱矿的目的,使牙齿恢复洁白。其典型优势是减少了对牙釉质的伤害,减轻术后敏感,美白时间更持久。

06.口腔溃疡的治疗
复发性的口腔溃疡疼痛剧烈,此起彼伏,影响正常生活。由于病因不清,临床上通常无根治方法。

半导体激光照射溃疡表面,可以使溃疡表面的组织发生蛋白变性,降低神经末梢的反应性及隔绝外界刺激,从而起到快速缓解疼痛,促进溃疡愈合的作用。
07.顽固性根尖周炎的治疗
经过反复根管换药仍无法痊愈的根尖周炎患者,经过激光的热效应可进行彻底的根管消毒,去除感染物,促进根尖周组织的愈合。

此外,激光辅助牙周病系统治疗可以加强牙周炎或种植体周围炎的治疗效果。
总之,半导体激光的使用大大提高了口腔治疗的疗效,提升了患者的舒适度。如果你还对曾经“看牙”的经历心存恐惧,那就来试试激光吧!
来源:口腔科 李婷婷
宣传科编辑整理