导读:如果不是郑州大学第五附属医院放疗科先进、成熟的治疗肿瘤技术,患有颅内脑瘤的王大妈可能到现在还看不到活下去的希望。短短几周的精准放疗,王大妈的不仅恢复意识,颅内肿瘤也明显变小直至康复出院。有人把王大妈成功的康复治疗称为奇迹,殊不知,这份成功源自于郑大五附院放疗科先进的精准放疗技术和专业负责的医护团队!

2017年4月份,家住驻马店上蔡县的王大妈突然出现了头晕、头疼、健忘等症状,家人刚开始以为是年龄大了并没有太在意,直到有一天王大妈去买菜竟然找不到回家的路,家人这才慌忙带她去当地医院检查,发现了脑瘤。当地医生建议转院治疗。“从亲戚那里听说郑大五附院看得好,我们就过来了。”刘大爷笑着告诉笔者。
专家成立治疗团队 精准放疗减轻患者病痛
2017年4月29日,王大妈来到了郑大五附院接受治疗,先是住进了神经外科,神经外科主任医师寿纪新主任介绍说:“当时病人外院核磁共振显示两侧脑室、三脑室、四脑室及松果体内见多发占位,合并梗阻性脑积水、脑室周围脑白质间质性脑水肿及脊髓转移,病情重,病灶广泛,无法手术切除”。为缓解脑积水,给病人进行了“三脑室底造瘘+脑室腹腔分流术”,手术后患者病情稳定、症状改善出院。
然而,好景不长,2017年5月16日,王大妈因突发意识模糊再次来到郑大五附院,复查头部MRI提示颅内肿瘤较前明显增大,且病变波及到脑干,脑脊液循环受阻。经放疗科主任医师王晓瑜主任会诊考虑颅内多发占位,恶性淋巴瘤可能性大,不排除生殖细胞瘤。当时病人神志模糊,下肢肌力0级,大小便失禁,病情危重,随时有呼吸、心跳骤停的风险。但肿瘤细胞对放射线敏感,经积极地放射治疗有可能挽救病人生命。但放疗风险大,可加重脑水肿。经与患者家属反复沟通,最终家属接受了放射治疗。然而,通过放疗究竟能否成功挽回王大妈的生命,这仍然是个未知数,也是所有人在面临的极大考验。
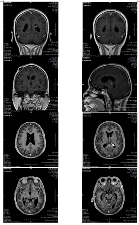
患者放疗前核磁共振图
回到放疗科后,王晓瑜主任迅速成立了以放射治疗医师、物理师、技师组成的治疗团队,对王大妈的病情进行深入的研究和探讨,制定了先行颅内肿瘤精准放疗,待生命体征稳定后再行全脊髓放疗的治疗方案,给予病人抢救性治疗。开通绿色通道,安排优先治疗。王大妈的主管医师任振泰介绍:容积弧形调强放射治疗(VMAT)作为肿瘤治疗疗效好、周围正常组织损伤小的精准放射治疗技术很适合病人此阶段治疗。经过2周放射治疗后,病人意识逐渐恢复。3周复查头部核磁共振成像检查(MRI)提示肿块明显缩小。

郑大五附院放疗科王晓瑜主任例行查房
放疗科巴楠主任介绍:“经过精准放疗后,病人颅内肿瘤缩小,由入院时的意识模糊到出院时的谈笑风生,这就是一名医生的幸福所在。去年科室引进医科达Synergy VMAT直线加速器、三维矩阵等剂量验证设备,能够很好地开展影像引导调强放疗IGRT、容积弧形调强放疗VMAT,为很多复杂疑难重症的肿瘤病人解除了病痛”。
2017年7月3日,王大妈的身体恢复很好,来院作进一步检查,并接受了全脊髓放射治疗。目前,王大妈已经康复出院。

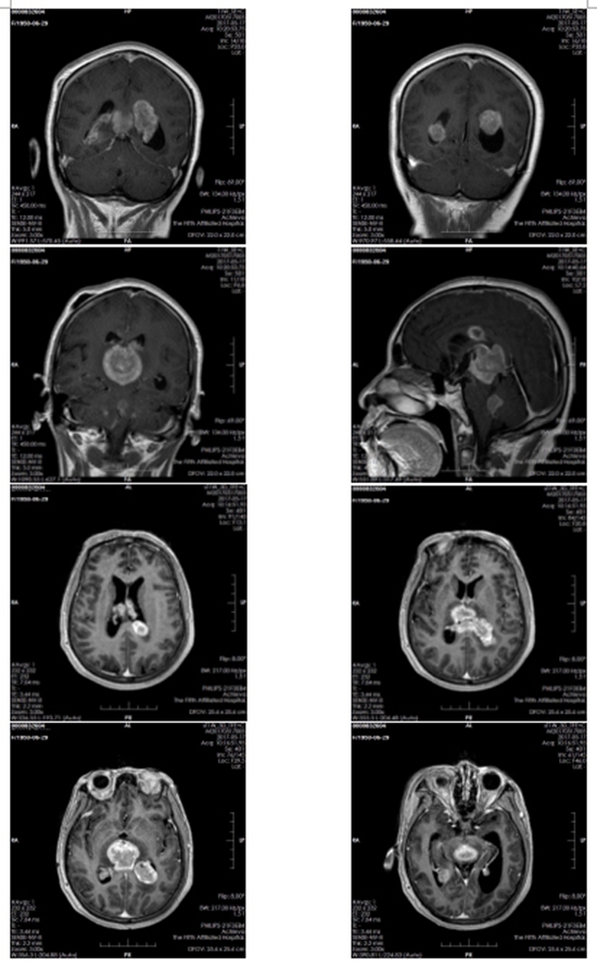
患者放疗后核磁共振图
回忆起当时王大妈的病情,刘大爷感慨万千:“第二次住院老伴儿一度出现植物人状态,不会走路,不会吃饭,意识昏迷,大小便失禁。当时病情很严重,抱着一丝希望来到郑大五附院,就是想再尽尽力,治不好我也不亏欠她。没想到老伴儿现在恢复这么好。”

“绿色通道”助力治疗 实现患者无痛生活
王大妈激动地说:“因为当时病情严重,王晓瑜主任特意为我开放了绿色通道,在我做放疗治疗的时候,不用排队,从来都是随到随做。真的很感谢郑大五附院放疗科医疗团队对我的照顾。更让我感动的是王晓瑜主任了解到我们家庭经济困难,主动将我的病房调到价格相对便宜但生活设施完善的病房。”

放疗科任振泰医师嘱咐患者放疗后注意事项
王大妈说她现在最高兴的事是身体恢复的越来越好。刘大爷说:“家里老邻居看到老伴儿恢复的这么好,都说是奇迹。”
经历了心情跌入谷底的绝望到看到重生的希望,王大妈说她非常感谢郑大五附院神经外科、放疗科的医护人员,感谢王晓瑜主任和她的放疗团队。
刘大爷和王大妈,从青葱到白发,相濡以沫,相扶相持,一起度过了40多个春秋,看到刘大爷对王大妈无怨无悔、细致入微的爱,在感叹他们这份绵绵情意的同时,也在心底禁不住为郑大五附院放疗科点上一个大写的赞!如若没有他们先进的放疗设备、精准的放疗技术和专业负责的医护团队,又怎能换回一对年近古稀夫妇的再相伴!