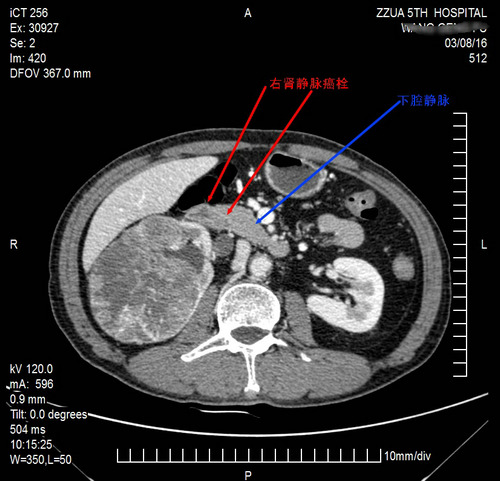
春回大地、万物复苏、孕育希望的时节,郑州大学第五附属医院泌尿外科迎来了一位来自豫北的病友王某。经病友介绍,王某辗转来到我院,满怀希望地找到邢东亮医生,要求做微创腹腔镜手术。邢大夫看完片子后头疼地对家属说:“病史8年,晚期转移性肾癌,瘤体巨大,即便是开放手术也是难度高,风险很大、建议病理穿刺活检后分子靶向治疗。”但家属不甘心,想争取哪怕是一线的手术机会。与患者家属沟通后,积极与医院放射影像科,超声科,血库等相关科室联系,着手进行充分的手术前准备,并作为重大手术上报医务科。检查中发现合并右肾静脉癌栓,已生长至下腔静脉入口处。术前邢东亮医生就该患者病情多次与北京解放军总医院、广州中山肿瘤医院及省内泌尿外科知名专家沟通交流诊疗意见及诊疗方案,一致认为按指南规范,可手术切除原发灶及左侧肾上腺转移灶,术后积极分子靶向治疗。还就防止术中癌栓脱落、是否防止腔静脉滤网问题,多次与医院血管外科副主任崔文军副主任医师沟通交流意见,并经过诊疗组及科内多次讨论,科主任酒涛主任医师,科副主任康郑军主任医师最后拍板,拟定由邢东亮医生主刀实施腹腔镜下右肾根治性切除+左侧肾上腺肿瘤切除术,术中阻断下腔静脉,完整切除癌栓。


2016年3月11日下午,在麻醉科主任胡强夫主任医师、麻醉师李霞医生,手术室护士长杨楠带领的护理团队协助下,由包括主刀医师邢东亮在内的康郑军诊疗手术团队顺利施术。按既定手术方案,先游离出右肾静脉及下腔静脉,处理肾动脉后,用腔静脉阻断钳部分下腔静脉阻断(约2/3),用直线切割闭合器沿肾静脉根部,连同约1/5的下腔静脉壁切除,完整切除右肾静脉癌栓,标本检查癌栓完整,然后翻身重新消毒把左侧肾上腺一并切除,耻骨上横切口方法,取出双侧标本。手术顺利,腔镜手术时间3小时27分钟,出血260ml。术中诊疗组长康郑军主任医师把控全局,悉心指导,包括朱海鹏主任医师、何江、王栋、张玉瑞主治医师在内的泌尿外科手术医师,就手术细节不断在台下出谋划策,主管医师于洋医师,术后拖着疲惫的身影回到病房,看到麻醉苏醒后的患者,感慨的说道:我们很疲惫,但很欣慰!主扶镜手何笑凯主治医师术后总结道:我们挑战手术极限,紧张中的坚持换来了最后胜利!
目前病人已经进食、下床活动,恢复良好。家属感激得对邢东亮医生说:“感谢您救了俺爹一命,刚开始不敢跟您说,其实俺问了好几家医院,他们不敢做,才来找您的……”。
该类合并肾静脉、腔静脉癌栓的肾癌手术,手术难度大,手术过程复杂,风险高。目前国内仍以开放手术为主,省内仅有少数专家曾腹腔镜下或机器人辅助腹腔镜完成该类手术,郑州大学第五附属医院泌尿外科再次挑战了自身技术极限,标志着泌尿外科腹腔镜微创外科技术跻身省内前列!

病理切片,癌栓完整
来源:泌尿外科于洋
宣传科编辑整理