各位女性朋友们,在守护乳腺健康的 “超级天团” 中,藏着一位神秘又强大的 “隐形侦探”—— 乳腺磁共振(MRI)!它就像拥有超能力的特工,凭借独特技能,能发现普通检查难以察觉的健康隐患。今天,就带大家全方位了解这位守护女性乳腺健康的幕后英雄!

为什么需要这个 “隐形侦探”?
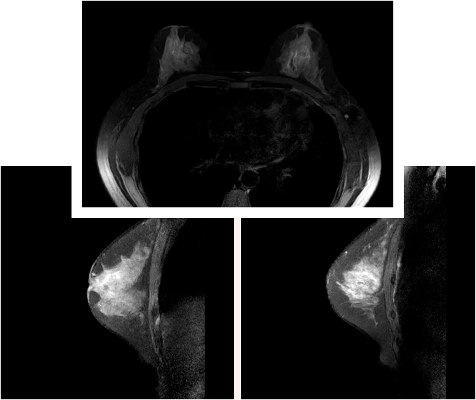
乳腺磁共振(MRI)借助强磁场与无线电波的神奇力量,能为乳腺拍摄百万像素级的 “高清写真”,那些连超声和钼靶都可能遗漏的微小细节,它都能精准捕捉!它的三大 “超能力”,堪称乳腺健康的 “安全卫士”:
超能力一:穿透致密乳腺
许多亚洲女性存在腺体致密的情况,这会让普通检查如同隔着毛玻璃,难以看清内部状况。而乳腺磁共振就像拥有 “透视眼”,能够轻松穿透致密组织,清晰呈现隐藏的病灶!

超能力二:发现早期癌变
它的侦查能力堪称一绝,哪怕是< 5 毫米的恶性病灶也无处遁形,敏感性高达 90% 以上!在癌症还处于萌芽阶段时,就能及时拉响警报,为治疗争取宝贵时间。

超能力三:追踪治疗反应
无论是化疗还是手术后,乳腺磁共振都能精准评估肿瘤是否缩小或复发,时刻关注病情变化,是医生制定治疗方案的得力助手。

错误警报
不过,这位 “侦探” 也并非十全十美。它有时会发出 “错误警报”(假阳性率),其实,它更适合以下人群:
有乳腺癌家族史或携带 BRCA 基因突变的高危女性,她们需要更精密的检查来保驾护航。
已经确诊癌症的患者,通过它可以评估癌细胞是否扩散,为后续治疗提供关键信息。
进行过隆胸手术的女性,能够检查假体是否破裂,让美丽与健康并存。
当其他检查结果出现矛盾,难以判断时,它能给出更准确的答案。

检查过程:20 分钟里的 “时空之旅”
想象一下,躺在一台神秘的仪器中,开启一场 20 分钟的 “探索之旅“。检查时,你需要俯卧在仪器上,双乳自然悬垂于专用线圈内,就像把乳腺放进了一个 “安全探测舱”。整个过程中,你要保持静止,耳边会传来类似 “高铁过隧道” 的轰鸣声,不过别担心,影像科会贴心地为你提供耳塞,让你更舒适~
这里有两个关键时间点一定要记牢:
月经后 7 - 14 天:此时激素干扰最小,拍出来的图像最为清晰。绝经女性则不受此限制,随时都可以检查。
检查后多喝水:检查时使用的造影剂安全性很高,24 小时内超 95% 可代谢,多喝水能帮助它更快排出体外。
特别提醒:体内有心脏起搏器、金属植入物,或者处于怀孕早期(3 个月内)的朋友,一定要提前告知医生!

三大争议与真相
关于乳腺磁共振,大家可能存在不少误解,现在就来揭开这些误区的 “真面目”!
误区1“辐射堪比核电站?”
真相:乳腺磁共振 没有辐射!没有辐射!它依靠磁场成像,一次检查的电磁暴露量仅相当于打 10 分钟电话,完全不用担心辐射危害。
误区2“查出问题就是癌症?”
真相:医学上有专业的 BI - RADS 分级系统来判断风险。例如 3 类病变,恶性概率小于 2%,多数情况下只需定期观察即可,无需过度恐慌。
误区3“不如直接做钼靶 / 超声?”
真相:超声、钼靶和磁共振是相辅相成的 “黄金搭档”,各有专长:
超声:擅长分辨肿块性质,但可能会遗漏钙化灶。
钼靶:对钙化十分敏感,不过在致密乳腺上的检查效果会大打折扣。
磁共振:软组织分辨率最高,尤其适合复杂病例,可以做出定性诊断。
未来科技:AI 与分子影像
随着科技的飞速发展,乳腺磁共振也在不断 “进化升级”!如今,它与人工智能强强联手,计算机能够识别上千种图像灰度差异,比人眼更早发现癌变迹象。未来,分子影像技术将更加神奇,在肿瘤还肉眼不可见时,就能通过代谢物精准锁定病灶,简直像科幻电影里的场景!
你的健康备忘录
最后,为大家送上一份贴心的健康指南:
定期筛查:高危人群每年进行 1 次 MRI + 超声 / 钼靶检查,做到早发现、早预防。
少生闷气:长期的情绪压力会影响激素水平,增加乳腺疾病风险,保持好心情才是 “健康秘诀”。
检查前准备:穿着宽松衣物,摘除金属饰品,携带既往检查报告,让检查更加顺利。
乳腺磁共振是现代医学送给女性的 “健康盾牌” 。了解它的价值,科学选择检查方式,才能更好地守护乳腺健康。科学守护乳腺,更好的做健康美丽的女神!
来源:医学影像科 徐红卫
党委宣传统战部编辑整理