您还在为“癫痫发作”而苦恼吗?
您是否还因为惧怕手术而延误最佳治疗时间?
您是否还因为没有勇气面对术后头上大大的疤痕而选择逃避?
……
那您真的需要早一些了解我!
我叫立体定向脑电图,您可以叫我小名“SEEG”!
我出生于20世纪50年代法国圣安妮医院(Saint Anne Hospital),在20世纪60年代,法国的Talairach和Bancaud提出局灶性癫痫定位应根据患者“解剖-电-临床”工作假说的验证,我也就做为一种“局灶性癫痫独立的有创评估体系”而被人们所认识。
我不仅仅只是一个监测工具,临床医生更多的把我当做一种侵入性癫痫诊断及治疗技术,把电极植入难治性癫痫患者颅内,记录颅内脑电活动,并且给予直接电刺激来确定局灶性癫痫患者致痫区。


神经外科医生在机器人辅助下进行立体定向脑电图电极植入
人们之所以越来越喜欢我,我感觉可能有两点,第一我弥补了硬膜下电极创伤大且无法记录深部脑区电信号的问题,我可以记录脑沟内以及定位一些致痫区位于深部区域(颞叶内侧、岛叶或扣带回等)的局灶性癫痫。第二我是微创钻孔置入,创伤小、患者耐受度高,同时可以通过施加一定功率和频率的电流刺激,诱发癫痫发作和进行脑功能定位(mapping),也可做脑网络研究(脑计划)。


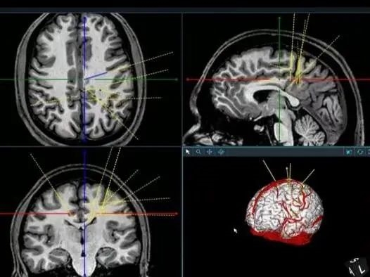
(一例功能区难治性癫痫SEEG设计及描记)
立体定向脑电图对癫痫灶定位的价值
当遇到癫痫发作症状、电生理模式与解剖结构之间的定位信息有矛盾,不能准确定位致痫区时;当遇到致痫区涉及重要功能区,可能引起偏瘫、失语,需要准确的脑功能区定位,精准确定手术切除范围来避免功能损伤时,常规检查难以定位致痫灶。我绝对会给您带来意想不到的惊喜。
当然,我也不是万能的,也有一些特殊情况,我也只能抱歉的说句“臣妾,做不到”!
比如:患者不能完成注册登记所需影像学检查(如MR检查);或者患有严重精神障碍、严重认知障碍以及依从性差不能配合检查,难以保证电极置入后安全性的患者;又或者局部颅骨厚度<2.0 mm,无法牢固固定导向螺钉的患者;甚至靶区域为可疑富血供的病变,如脑动静脉畸形等等。
存在即有意义!
对那些需要我的癫痫患者
能及时伸出援手
帮他们走出黑暗
让他们回归社会
实现自我价值
好了,谢谢大家,请记住我
我叫立体定向脑电图
小名“SEEG”!
来源:河南省癫痫病系统化诊疗中心 神经电生理科
宣传科编辑整理