近日,郑州大学五附院血管外科治疗一例腹主动脉瘤腔内修复术后Ⅱ型内漏栓塞术。
“炸弹”再次形成,手术迫在眉睫
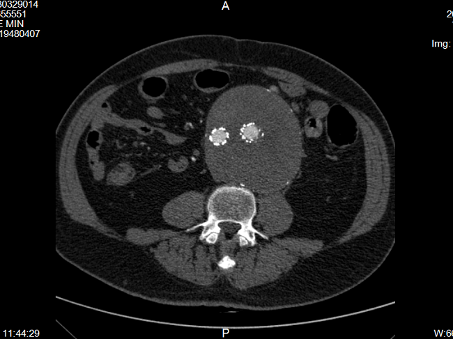
74岁的郭大爷,7年前发现腹主动脉瘤,在郑州大学第五附属医院血管外科成功行腹主动脉瘤腔内修复术(Endovascular Aneurysm Repair,EVAR),术后的第7年,在医院住院做常规复查,经使用增强CT检查(CTA)后显示:腹主动脉瘤体增大,再次形成“定时炸弹”(图1)。郭大爷精神状况较好,无腹胀腹痛、头晕头痛等不适,但瘤体明显增大,瘤腔内存在血流信号,考虑EVAR术后Ⅱ型内漏,随时可能再次破裂,手术迫在眉睫。

▲图1 腹主动脉瘤腔内修复术后Ⅱ型内漏,增大的瘤体
什么是腹主动脉瘤?
我们知道,腹主动脉瘤(abdominal aortic aneurysm,AAA)常被称作是肚子里的“定时炸弹”,它不是肿瘤,是腹部的大动脉---腹主动脉呈瘤样扩张,通常直径增大50%以上定义为动脉瘤。是一种起病隐匿却可危及生命的血管外科疾病,经常直到破裂前才出现腹部或腰背部疼痛的症状,而一旦破裂导致大出血休克(图2),将威胁患者生命。

▲图2 腹主动脉瘤破裂大出血
腹主动脉瘤如何治疗?
针对该病唯一有效的办法就是手术。近20年来,腹主动脉瘤腔内修复术(EVAR)(图3)无需开腹、创伤小、恢复快等优势,逐渐取代传统开腹手术,成为腹主动脉瘤的主流外科术式,并取得了良好效果。所谓的腹主动脉瘤腔内修复术(EVAR),是在血管造影(DSA)动态监测下,将覆膜支架(覆有人工血管薄膜的金属支架)通过股动脉切口传送到腹主动脉瘤腔内,固定在其两端正常的血管处,在血管腔内将“受伤”的腹主动脉瘤壁与血流完全隔绝的微创技术。换句话说,就是术后的腹主动脉瘤这段“受伤”的血管管壁里,是没有血液流动的,而是经“修补”后植入支架的管腔内传输的。这样,血液只在修补后支架的轨道内“行驶”,不再作用于“受伤”的腹主动脉瘤血管壁,自然就不会再增大或再破裂。

▲图3 腹主动脉瘤腔内修复术
“内漏”二次伤害,随时可能再次引爆瘤体
EVER在更多患者受益的同时,经临床观察,EVAR的相关并发症也逐渐显露。“这一技术特有的并发症中,最常见的就是内漏问题。”负责该患者诊治的副院长王兵教授谈道:“所谓内漏(图4),就是指EVAR术后动脉瘤隔绝的不完全,瘤腔内有持续性血流进入,会导致瘤腔持续扩张,部分患者可能会出现再次破裂的风险,而不得不再次进行修复术。”郭大爷就属于这种情况,EVER术后内漏瘤体增大(图5、6),随时可能破裂出血,危及生命。

▲图4 内漏:瘤腔内有持续性血流进入
导致瘤腔持续扩张

▲图5 内漏:瘤体内可见造影剂

▲图6 内漏:瘤体增大
何为Ⅱ型内漏?
Ⅱ型内漏(又称为返流性内漏或非移植物相关内漏)(图7)来自包括腰动脉、肠系膜下动脉(IMA)、骶正中动脉及副肾动脉等腹主动脉的分支血液逆行反流入覆膜支架与动脉壁之间的瘤腔内。Ⅱ型内漏的持续存在能够使动脉瘤腔内压力增大,影响动脉瘤腔内血栓的形成及动脉壁的重塑,最终引起动脉瘤的增大,导致再发破裂的风险。

▲图7 Ⅱ型“内漏”腹主动脉的分支血液逆行反流入覆膜支架与动脉壁之间的瘤腔内
再次成功“拆弹”,转危为安
王兵教授术前向患者详细解释了,目前国内针对Ⅱ型内漏的处理,常选用动脉栓塞术。比如,到肠系膜下动脉起始部进行栓塞,需要经过肠系膜上动脉→结肠中动脉→边缘弓→Riolan氏弓→左结肠动脉→肠系膜下动脉。临床上,因路径扭曲、通路漫长,到达责任血管难度高、技术要求高。郭大爷的手术充满了挑战性,首先我们计划经左侧肱动脉穿刺入路,超选入肠系膜上动脉,经过迂曲、曲折的血管,尝试通过到达责任血管,但因“路途过长”(图8),没有合适的器械,未能成功。经过王兵教授、崔文军主任医师、任菲副主任医师、司江涛主治医师对血管通路的再次研究分析,决定经股动脉穿刺再次尝试。在血管外科医生们坚持不懈的努力、高超的技术下,应用微导管、微导丝沿着Riolan’s弓的路径,终于经过漫长的通路,超选至肠系膜下动脉供应瘤腔的分支,造影证实为责任血管后,在肠系膜下动脉近腹主动脉开口处和动脉瘤腔内释放弹簧圈栓塞,将反流的血管封堵,Ⅱ型内漏消失(图9),“拆弹成功”患者转危为安。

▲图8 由于路径扭曲,器械长度不足以到达肠系膜下动脉起始部

▲图9 Ⅱ型内漏 瘤腔及分支弹簧圈栓塞成功
定期复查,及时“拆弹”
Ⅱ型内漏是EVAR术后一种常见的并发症,也是患者体内的“定时炸弹”,发生率高达30%~40%。随着腔内治疗的普及,将会有越来越多的患者存在”定时炸弹”。对既往曾行EVAR的患者,需要进行定期复查,及时发现“拆除炸弹”,郑州大学第五附属医院血管外科团块将用最精湛的技术为您的生命安全保驾护航。
来源:血管外科 任菲
宣传科编辑整理