郑州大学第五附属医院

郑州大学第五附属医院
搜索按钮
进入适老模式
信息公开
医疗动态
首页>信息公开>医疗动态

垂体瘤治疗新突破!神经内镜下的精准之旅

发布时间:2024/12/6文字调整

垂体瘤是起源于腺垂体的肿瘤

多数为良性

表现为垂体瘤压迫症状和激素分泌异常

治疗方式以手术治疗

药物治疗、放射治疗为主

多数通过治疗可以控制病情

可正常生活工作


近期,郑州大学第五附属医院

神经外科一病区团队

连续完成

7例神经内镜下经鼻蝶垂体瘤切除术

现总结如下


男6例,女1例,年龄49.9±12.6岁,其中,微腺瘤2例,大腺瘤4例,巨大腺瘤1例;Knosp分级:0级3例,2级3例,4级1例;泌乳素(PRL)腺瘤1例,生长激素(GH)腺瘤3例,无功能腺瘤3例。


展现了团队全面的手术能力和丰富的经验。所有患者均在术后5天顺利出院,恢复迅速。


神经内镜:垂体瘤手术的革新之选

相较于传统的显微镜手术,神经内镜技术在垂体瘤治疗领域展现出了无可比拟的优势:

极小创伤

神经内镜通过鼻腔这一自然通道直达病灶,无需开颅,大幅度减少了手术创伤,让患者术后恢复之路更加顺畅,大大缩短了住院时间,加速了康复进程。


高清直视

神经内镜提供超清视野,使医生能够细致入微地观察肿瘤及其周边结构,特别是垂体柄等关键部位的细节,确保手术操作精确无误,有效避免了对周围正常组织的误伤。


640_副本


多角度探索

内镜的灵活视角转换功能,让手术团队能够从不同角度全面审视肿瘤,无遗漏地清除病灶,确保了手术的彻底性和全面性,超越了显微镜的视野限制。


640


全切率高

得益于神经内镜的清晰视野与高精度操作,肿瘤切除更加彻底,显著提高了全切率,降低了术后复发风险,为患者带来更长久的健康保障。


并发症风险低

微创特性加之手术的高精准度,极大减少了术后感染、出血等并发症的发生,减轻了患者的身心负担,促进了生活质量的快速恢复。


垂体瘤病例分享及文献回顾

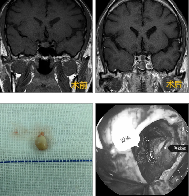
病例1

韩某,体检发现生长激素高1周。MRI提示垂体微腺瘤,术前GH:5.69 ng/mL。


QQ截图20241206084043


肿瘤位于正常垂体左侧,大小约1cm,术中沿假包膜外完整切除,切除后可见正常垂体及左侧海绵窦。术后第一天GH降至0.186 ng/mL,达到治愈标准,术后5天出院。术后1月复查GH:0.063 ng/mL。


病例2

于某,体检发现鞍区占位1周。MRI提示垂体大腺瘤(3.0cm*2.7cm*2.3cm),Knosp:4级。术前泌乳素:17.57 ng/mL,皮质醇(08:00):116.9 nmol/L。术后第一天,PRL降至6.45 ng/mL,COR恢复至388.8 nmol/L,达到治愈标准。术后5天出院。


QQ截图20241206084056


文献回顾

随着内镜技术的开展与普及,越来越多的研究发现,相较于传统的显微镜技术,神经内镜在肿瘤切除率、缩短住院时间、减少并发症等方面均有明显的优势。


QQ截图20241206084115


(部分图片素材来源网络,侵权即删)

来源:神经外科一病区   梁博

党委宣传统战部编辑整理

Baidu
map