颅底,被称为大脑的“十字路口”
这里密布视神经、听神经、
颈内动脉与脑干,
稍有不慎便可能引发失明、瘫痪
甚至生命危险。
颅底肿瘤手术因操作空间
仅毫米级、解剖结构复杂,
被誉为神经外科领域的“皇冠上的明珠”。
近日,神经外科三病区马建主任团队连续完成两例高难度颅底肿瘤全切手术,以精湛技术护航患者生命健康,再次彰显了科室在复杂颅底病变领域的卓越实力。
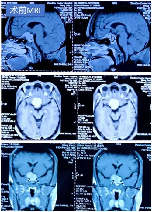
夺回光明
1.3cm鞍区肿瘤的“精准拆弹”
三个月前,王女士右眼急剧下降,伴随的间歇性头痛。MRI显示,一颗直径3cm的肿瘤正疯狂挤压她的鞍区,此处是被称为"脑部十字路口"的险要之地,汇聚着视神经、垂体与颈内动脉。王女士找到马建主任时,右眼视力已基本丧失,左侧视力也日益减弱,不加以控制,可能失明并引发内分泌功能紊乱。

手术难点:
肿瘤与视神经“膜性粘连”,剥离如抽丝
稍有不慎即可能造成失明、内分泌紊乱或眼球运动障碍等严重并发症
因为患者右眼视力丧失,全力保住左侧视力

马建主任和周少龙副主任术前详细阅片并在脑海中反复预演手术过程,制定了周密的手术方案,经过2小时精细操作,成功实现肿瘤全切,所有关键神经血管结构毫发无损。术后患者左侧视力得以保留,头痛症状消失,无尿崩、眼球运动障碍等并发症,在鲁小丽护士长带领的护理团队的精心护理下恢复良好,目前已顺利康复出院。

岩尖迷局
2.多组神经的抽丝剥茧
60岁的吴先生持续耳鸣且听力下降就诊,检查发现肿瘤已侵入桥小脑角区,考虑岩尖-天幕型脑膜瘤,因与面神经、听神经紧密缠绕,手术极易引发面瘫、失聪。


手术在神经电生理科孙楹老师的实时监测下进行,术中肿瘤与周边神经血管,尤其是岩静脉粘连紧密,仅历时1个半小时,即实现全切肿瘤,术后患者耳鸣消失,听力正常,无面瘫、面部麻木等不良反应。

硬核支撑
3 三大“生命防线”
1影像组学:精准评估
2神经电生理:“实时警报”监护
3手术技术:颅底解剖的深刻理解及相应的操作理念
【专家说】我们不仅是切除肿瘤更是功能保护
“颅底手术没有‘差不多’,解剖全切与功能保护的双重极致是我们的追求!”——神经外科三病区主任马建
来源:神经外科三病区 李明贺 周少龙 马建
党委宣传统战部编辑整理