郑州大学第五附属医院

郑州大学第五附属医院
搜索按钮
进入适老模式
信息公开
医疗动态
首页>信息公开>医疗动态

辗转口腔科无果的“牙痛”,竟揪出脑梗元凶!

发布时间:2025/3/28文字调整

被误诊的"牙龈肿胀"  

45岁李先生近1个月饱受折磨:左侧牙龈肿胀、下颌发胀,连面部都开始麻木。辗转多家医院口腔科,检查却显示"一切正常"。

但是感觉牙龈肿胀严重,于是又到郑州大学第五附属医院口腔科就诊,口腔科医生接诊后完善相关检查排除口腔科疾病,推荐其到神经内科诊治。


MRI揭开真相

脑干梗死伪装成"牙病"

患者遂到医院神经内科二病区接受进一步检查及治疗。结合患者病史及体征,予以完善颅脑磁共振检查。


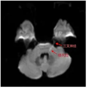
640_副本


颅脑MRI显示:左侧桥脑线样梗死灶(箭头处),病灶紧邻三叉神经纤维!原来:

三叉神经感觉纤维受损→产生"牙龈肿胀"错觉  

自主神经纤维受累→引发血管神经性水肿  


三叉神经的"危险警报"

这些症状别当牙病治!

掌管面部感觉的三叉神经一旦受损,可能出现:

"假牙痛":无红肿却持续牙龈/面部胀痛  

"变脸术":单侧麻木/灼烧/蚂蚁爬行感  

"隐藏杀手":脑梗/肿瘤/疱疹等全身性疾病作祟  


治疗关键:双管齐下解难题

抗板+降脂:阻止脑梗进展  

加巴喷丁:缓解神经性疼痛  

抗组胺药:消退血管性水肿  


多学科诊疗启示录  

1症状≠疾病:牙龈肿胀也可能是神经系统"报警"  

2查体>主诉:医生通过"牙龈无红肿+面部痛觉减退"识破伪装  

3影像会说话:MRI精准定位脑干病灶  


来源:神经内科二病区 侯少瑾

党委宣传统战部编辑整理

Baidu
map