每天顺畅的“嗯嗯”绝对是人生一大享受!但您认真“审视”过自己的便便吗?别不好意思,它可是身体的“健康晴雨表”!当便便变得油腻、恶臭、漂在水面、甚至难以冲净......
小心,这可能是脂肪泻在拉响警报!今天,就让我们一起揭开这个“油腻”信号背后的秘密,看看郑大五附院如何帮一位饱受困扰的患者解除烦恼!
病例直击:十个月的“油腻”困扰终破解
陈女士(化名)最近十个月可被“便便”愁坏了!只要一吃油腻的,立马“一泻千里”,每天跑厕所4-5次,拉出来的便便油花花的、还浮在水面上冲不干净!虽然不痛不胀,但清淡饮食后情况依旧,体重还悄悄下降。在当地社区尝试中药调理,效果平平。
为了揪出“真凶”,陈女士慕名找到郑州大学第五附属医院消化内科二病区刘谦主任。根据典型的脂肪泻症状和既往胰腺异常病史,刘主任敏锐地察觉到问题可能出在胰腺上,果断安排陈女士入院。
精准“破案”,多学科联手!
入院后,腹部增强CT、胰腺MRI、PET/CT等检查纷纷指向胰腺病变。一场针对疑难胰腺病例的多学科大会诊(MDT) 迅速启动!在刘谦主任主持下,医学影像科郭辉主任、放疗科巴楠主任、肿瘤科张剑主任、肝胆胰腺外科张永医师、营养科丁丽敏主任共同参与“会诊”。

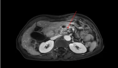
▲ 胰腺增强MRT:胰头钩突占位,可见多发小囊状,胰管扩张
专家团综合研判,考虑是胰腺导管内乳头状黏液肿瘤(IPMN),但需要取到病理才能最终确诊。
微创取“证”,巧解难题!
因患者年龄偏大,患者家属了解到相关手术事项及风险后,家属表示拒绝手术。
考虑到陈女士年龄及家属对开腹手术(胰十二指肠切除术)的顾虑,经过术前充分准备、评估,决定为其行“ERCP结合胰管镜下取病理并行胰管支架置入术引流胰液”。在麻醉科闵娜主任团队保驾护航下,消化内镜中心主任郑权主任操作十二指肠镜精准抵达十二指肠降段。

十二指肠主乳头呈现典型的“鱼眼征”,大量透明浓稠粘液不断涌出!导丝顺利插入胰管造影,显示胰管全段扩张。随后置入纤细的胰管镜,内镜下清晰可见胰管内壁布满了白色珊瑚状增生组织——成功获取关键病理!

▲ (胰管内增生组织)考虑为导管内乳头状粘液肿瘤伴低级别异型增生
术后焕新,“油腻”烦恼拜拜!
术后经过科学的治疗和护士长张静斐团队精心的护理,陈女士恢复良好。最让她开心的是:烦人的脂肪泻消失了! 术后无胰瘘、感染、出血等并发症,陈女士带着笑容顺利出院,重归日常生活。因选择保守治疗,陈女士后续仍需遵医嘱定期随访复查。
疑难胆胰疾病?
MDT门诊为您精准导航!
MDT门诊
面对复杂的胆胰疾病(如胰腺肿块、不明原因黄疸、胰管损伤等),郑州大学第五附属医院“疑难胆胰疾病多学科会诊(MDT)门诊” 是您的强力后盾!
出诊时间:每周二上午
顶尖团队: 消化内科、肝胆胰腺外科、医学影像科、超声科、肿瘤内科、放疗科、病理科资深专家强强联合,一站式会诊!
MDT优势:
诊断更快更准: 多学科专家共同解读影像、分析病情,平均确诊时间从29.5天缩短至7.7天!
方案更优更全: 综合各学科意见,制定最适合患者的个体化治疗方案(内镜、手术、放化疗等)。
效率更高: 总住院时间平均减少30天! 避免患者在不同科室间辗转。
诊治范围:
胰腺问题:肿块(炎癌鉴别)、自身免疫性胰腺炎、慢性胰腺炎、囊肿/囊性肿瘤、神经内分泌肿瘤、胰腺癌。
胰管问题:变异、断裂、损伤。
胆道问题:不明原因胆管扩张/狭窄、梗阻性黄疸。
壶腹部肿瘤、Oddi括约肌功能障碍。
肿瘤标志物CA199升高查因等。
来源:消化内科二病区 王文真
党委宣传统战部编辑整理