61岁的刘先生去年退休后,生活闲适,平日喜欢与朋友喝酒、打牌,一坐就是大半天。最近半个月,他自觉右小腿酸困、胀痛,起初以为是普通腰腿问题,并未在意。然而症状逐渐加重,直至1天前出现胸闷、气促、行走无力,才前往郑州大学第五附属医院血管外科就诊。
经肺动脉CTA检查,发现刘先生患上了大面积的“肺动脉栓塞”,情况危急,随即被收治入院。下肢静脉彩超进一步显示,其右腿深静脉血栓已蔓延至大腿根部。医疗团队迅速为他施行了“下腔静脉滤器植入术”,术后配合抗凝及溶栓治疗,刘先生的症状很快缓解。

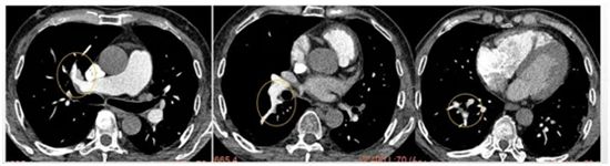
▲ 术前肺动脉CTA,肺动脉主干多发血栓

▲ 经抗凝溶栓治疗后,肺动脉血栓基本消失
一、什么是肺动脉栓塞?
肺动脉栓塞(也称肺栓塞)堪称“隐形杀手”,是因血栓堵塞肺动脉而引起的危重疾病。它在全球每年影响超千万人,猝死率高达约30%。该病起病急、症状隐蔽,易被误诊为心梗、哮喘等。尽管公众对其认知有限,肺栓塞实为临床常见致死原因之一,位居第三。

二、这些症状可能是生命警报
突发胸痛:深呼吸或咳嗽时加剧,易与心绞痛混淆;
呼吸困难:静息时突然气短,可伴冷汗与恐惧感;
咳血提示:痰中带血丝或粉红色泡沫痰;
晕厥前兆:不明原因眼前发黑或意识丧失;
腿肿信号:单侧小腿肿痛,需警惕深静脉血栓。
三、哪些人属于高危群体?
长期久坐人群(如程序员、长途飞行旅客);
术后、骨折或偏瘫长期卧床者;
患有肿瘤、心衰等慢性病的人群;
正口服避孕药或处于孕产期的女性;
有遗传性易栓症家族史者。
四、科学预防,四步到位:
勤活动:每坐1小时,做3分钟踝泵运动(脚尖画圈伸展);
足量饮水:每日2000ml,帮助降低血液粘稠度;
选对袜:穿戴医用梯度压力袜,辅助预防血栓;
控慢病:积极治疗高血压、糖尿病等基础疾病。

五、抓住黄金救治时间
一旦出现疑似症状:
立即平卧制动,拨打120;
切勿自行服药,以免引发二次栓塞;
备好病历资料,主动告知医生相关手术或外伤史。
预防胜于救治,
行动守护生命!
从现在起,避免久坐,
定期起身活动,坚持适度锻炼,
定期体检,保持血液畅通,
为健康保驾护航。
来源:血管外科一病区 李阳
党委宣传统战部编辑整理