精准放疗让86岁甲状腺淋巴瘤患者重获新生
导读:医院在见证生命诞生与终结的同时,还见证着生命的重生。2018年1月20日,对于86岁的刘奶奶来说是不平凡的一天,这一天是刘奶奶86岁的生日,与以往不同的是,刘奶奶在郑大五附院放疗科度过了生日,放疗科医护人员与刘奶奶的家人一起为老人点起了生日蜡烛、唱起了生日祝福歌......



欢声笑语、其乐融融,沉闷的病房瞬间变成了欢乐幸福的海洋。“今儿是我86岁的生日,太感谢放疗科的医生、护士了,医术好,服务也好,不然咋能让我挺过这一关啊!”刘奶奶笑着说道,言语间满是感激。
事情还得从半年前说起,一向身体硬朗的刘奶奶突然出现了声音嘶哑,原以为只是上火或着凉引起了喉咙不适,不曾想这种症状整整持续了两个多月,且颈部还莫名地长了个肿块,肿块越长越大直到影响进食,家人这才赶紧带她到当地医院进行检查。甲状腺CT及穿刺病检提示右侧甲状腺区占位,确诊为甲状腺淋巴瘤,这个结果对刘奶奶的家人来说犹如晴天霹雳,“无论如何都要把老母亲的病给治好!”这是刘奶奶的孩子们最为迫切的希望。
2017年7月5日,刘奶奶在郑大五附院接受了“甲状腺根治+喉返神经探查术”,刘奶奶的病情暂时得到控制,症状也有所缓解。然而,好景不长,刘奶奶手术后5个月,又出现了胸闷、呼吸困难,就连吞咽也产生了障碍,只能靠吃一些流食维持,看着刘奶奶痛苦的样子,家人别提心里有多难受。四处打听,家人得知郑大五附院放疗科在肿瘤治疗上独树一帜,便迅速带着刘奶奶于2017年12月13号住进了郑大五附院放疗科接受治疗。
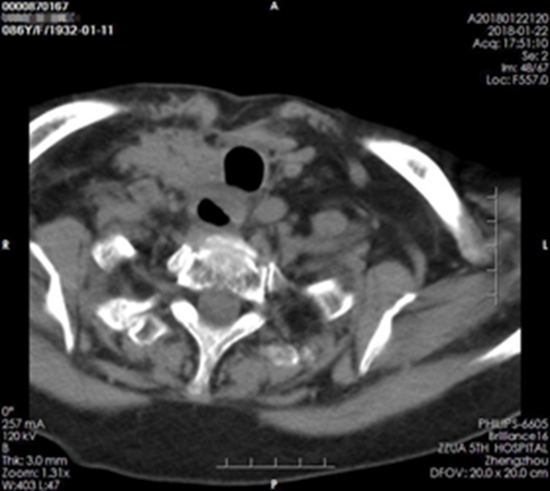
放疗科王晓瑜主任表示,检查结果显示患者的气管食管受侵,受压明显,管腔明显狭窄,考虑为甲状腺淋巴瘤局部复发,需要进行放射治疗。由于刘奶奶岁数较大,无形中增加了治疗的风险,王晓瑜主任在给诊疗组开会时多次强调既要保证放疗前的靶区勾画、物理计划及治疗中摆位的精准性,又要对放射治疗中出现的不良反应提前作出预估。

主治医生么志军
作为刘奶奶的主治医生,么志军大夫每天都要往她那儿跑上好几趟,“老人年龄大,对于治疗中的一些不良反应要早发现早处理,及时缓解她的放疗并发症,争取把痛苦降到最低,保证老人的生活质量是我工作的目标。”么大夫语重心长地说道。
在王晓瑜主任团队规范、精准的治疗计划下,刘奶奶仅在接受精准放疗2周后,胸闷、进食不畅等症状就得到了明显改善。看着刘奶奶一天天好起来,放疗科的医护人员倍感欣慰,而刘奶奶也开心地说道:“没有啥比我一天天好起来更激动人心的了,也让我越来越有信心跨过这道坎儿了!”


治疗前


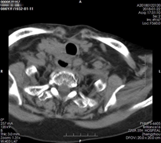
治疗后
短短一个多月,刘奶奶共接受了28次、每次1.8GY,共计50GY的放射治疗,目前所有的症状都已消失,整个人的气色也好了很多。谈到刘奶奶的康复,她的女儿激动地说道:“我妈现在吃饭顺畅了,胸也不闷了,整个人气色好多了,这都归功于王晓瑜主任团队精湛的技术、优质的服务啊!”
前两天,刘奶奶出院,放疗科的医护人员为了庆祝,精心为刘奶奶准备了鲜花,当接到鲜花的那一刻,刘奶奶激动地流下了泪水。住院期间,赵芳护士长的嘘寒问暖、亲切关怀;么志军医生的全心全意、尽心尽力,一切的一切,刘奶奶都看在眼里,记在心里......如果说让她得以康复的是郑大五附院放疗科精湛的技术,而让她感到温暖的则是来自郑大五附院放疗科全体医护人员无微不至的爱与关怀。

最和谐的关系莫过于你微笑,我安心;最动人的故事莫过于凭我们的实力,换取您的安康!郑大五附院放疗科在追求医术高明、优质服务的同时,还在努力打造和谐融洽的医患关系!