
很多家长对孩子牙齿健康重视程度不足,尤其乳牙迟早会被恒牙替换,因此在乳牙出现问题时不需要治疗,这样的观念错误的!儿童龋病不仅有严重的局部危害,还会影响孩子的全身健康。那么,儿童牙齿龋坏究竟有什么危害呢?又该如何预防儿童龋病呢?
儿童龋病的危害
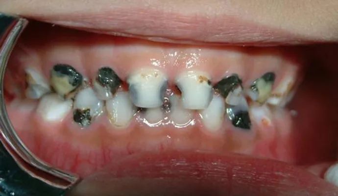
01 局部性危害

1.影响咀嚼功能,有时还会形成偏侧咀嚼,会导致面部发育不对称;
2.乳牙的严重龋坏会影响继承恒牙的发育,造成萌出的恒牙形态异常、位置异常、牙列不齐;
3.破损的牙冠通常边缘锐利,可损伤孩子的局部黏膜,造成破溃、疼痛。
02 全身性危害

1.因咀嚼功能下降,影响儿童营养摄入造成生长发育减缓,抵抗力降低;
2.乳牙的龋坏和早失会影响儿童语言学习过程中的正确发音;
3.前牙区的龋齿会影响美观,孩子羞于开口露齿,容易造成孩子的自卑心理。
全口涂氟
氟在预防龋病方面起到重要作用,可以抑制牙齿硬组织的溶解(脱矿),促进牙齿再矿化,还能抑制细菌生长。
涂氟治疗是一种快速、无痛、无创的预防龋齿方法,它是由口腔医师把高浓度氟化物涂在牙齿表面。简单来说,涂氟就像是给牙齿穿上一件防护服,在一定时间内,为牙齿提供较高浓度的氟,增强牙齿抗龋能力。

有家长担心涂氟会使孩子出现“氟中毒”,其实涂氟的安全性已经过多方论证,是被WHO和中华口腔医学会认可和推荐的帮助儿童预防龋齿方式。在涂氟时,氟化物会在牙齿表面迅速硬化,而且只在牙面短期停留,摄入体内量很少,所以是很安全的。自孩子萌出第一颗牙齿即可定期涂氟,一般每半年进行一次涂氟,可以很好的起到防龋效果。
那么涂了氟之后还会患龋吗?答案是:会。涂氟并不能一劳永逸,依然要每天坚持督促教育孩子做好牙齿清洁,定期带孩子做口腔检查,及早防治。

除了定期全口涂氟,控制饮食中糖的摄入量和频率,磨牙萌出后对磨牙窝沟进行窝沟封闭,使用含氟牙膏,饭后使用牙线均可对龋齿起到预防效果。
惠民活动内容
自即日起一个月内,在郑州大学五附院口腔科进行全口涂氟的儿童,可在本次治疗之后的6~12个月内,第二次全口涂氟免费!相当于买一送一!
建议各位家长利用这次机会,带孩子进行全口涂氟,同时做一次全面口腔检查,及早发现问题并解决,帮助孩子从小养成好的口腔卫生习惯。
来源:口腔科 曾庆雯
宣传科编辑整理