郑州大学第五附属医院

郑州大学第五附属医院
搜索按钮
进入适老模式
信息公开
医疗动态
首页>信息公开>医疗动态

从“无法手术”到“成功切除”,他在郑大五附院迎来命运转折

发布时间:2026/3/16文字调整

对于肝癌患者而言,当都说“不能切”时,是否就意味着失去了希望?

近日,郑州大学第五附属医院肝胆胰腺外科用一台惊心动魄的手术给出了答案:即使肿瘤紧贴大血管,经历过多次介入治疗导致腹腔内“一塌糊涂”,顶尖的微创技术依然能为患者撕开黑暗,迎来曙光。


一波三折

被多次婉拒的他,还有救吗?


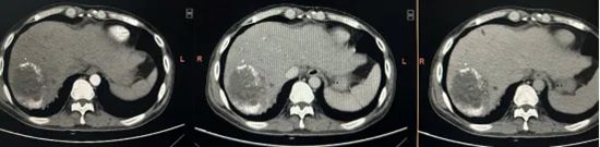
640_副本


一年前,一个噩耗让李先生(化名)的生活陷入阴霾——他被确诊为肝右叶肝细胞癌。

为了求生,他辗转于省内多家医院,先后经历了多次超选择性肝动脉化疗栓塞(TACE)、肝动脉灌注化疗(HAIC),并配合了靶向及免疫治疗。

然而,现实是残酷的:肿瘤体积依然顽固,未见明显缩小。更棘手的是,由于反复治疗,肿瘤位置不仅深在,还紧紧毗邻下腔静脉、肝门部大血管与胆管。腹腔内粘连严重,解剖结构早已紊乱得像一团乱麻。面对如此高的手术风险,最终未能实施进一步手术治疗。

就在李先生几乎要放弃时,抱着一线希望,他找到了郑州大学第五附属医院肝胆胰腺外科的陈艳军主任。


危急时刻

4小时“拆弹”,在血管丛中精准游离

为给患者争取根治机会,陈艳军主任团队反复判读影像资料,详细评估病情,周密制定方案,最终决定实施腹腔镜右半肝切除术。

肿瘤体积巨大且紧邻下腔静脉,手术难度极大,稍有不慎将会出现难以控制的大出血,危及患者生命。

最终,手术历时约4小时,陈艳军主任团队冷静应对,精准解剖肝门Glisson系统,依次安全处理肝动脉、门静脉、肝静脉及肝短静脉,沿肝中静脉精准离断肝实质,在彻底切除肿瘤的同时,最大限度保留正常肝脏组织,实现了微创、精准、低出血、保功能的理想效果。


术后康复

无并发症,迎来新生

在肝胆胰腺外科医护团队的精心照料下,李先生顺利闯过了术后最危险的几道关卡:没有出血、没有胆漏、更没有出现让人闻之色变的肝功能衰竭。生命体征平稳,顺利进入康复阶段。

右半肝切除术是肝脏外科公认的高难度、高风险手术,尤其针对既往多次治疗、肿瘤紧邻重要血管的患者,对术者技术、经验及团队配合均提出严苛考验。

此次手术的圆满成功,充分彰显了郑州大学第五附属医院肝胆胰腺外科在复杂肝癌、中央型肝癌、胰腺及胆道疑难重症方面的顶尖诊疗实力与规范化救治水平,为更多疑难重症患者带来新的希望。


【医学科普】

右半肝切除

——肝脏外科的“高精尖”手术

很多人听到“切半个肝脏”都会觉得不可思议,其实肝脏是人体唯一可以再生的实质性器官,只要剩余健康肝脏足够,切除病变部分不仅安全,还是治疗肝癌的最有效手段之一。


640 (1)_副本


一、什么是右半肝切除?

右半肝切除,是指完整切除肝脏右半部分(含肿瘤),保留左半肝维持人体正常功能。

它主要用于:

1.肝右叶肝癌、肝血管瘤、肝内胆管结石

2. 肿瘤侵犯肝门、右肝静脉、门静脉右支等复杂情况


二、为什么说它难度极高?

右半肝切除被公认为肝脏外科金字塔尖的手术,难点在于:

1. 血管密布,如同“在血管上做手术”:右半肝紧邻门静脉、肝动脉、胆管、下腔静脉,稍有不慎就可能大出血。

2. 解剖复杂,操作空间极小:位置深、视野差,对医生的解剖熟练度要求极高。

3. 既要切得干净,又要保得住功能:切少了肿瘤易复发,切多了可能发生肝功能衰竭。

4. 腹腔镜下难度翻倍:微创视野有限,对精准分离、止血、缝合技术要求极高。


三、哪些人适合做?

1.肝右叶恶性肿瘤(肝癌)

2.局限在右半肝的良性大肿瘤

3.严重右肝内胆管结石无法取净

4.肝外伤、肝脓肿等保守治疗无效

前提:剩余左半肝功能正常、体积足够。


四、术后能恢复正常生活吗?

可以!

肝脏强大再生能力:术后3—6个月可逐渐恢复接近原体积

术后1—2周可下床活动

1—3个月可恢复正常工作、生活

长期生存质量高,是肝癌根治性治疗的核心手段


五、早发现,比治疗更重要

肝癌高危人群建议:

乙肝/丙肝、脂肪肝、长期饮酒、家族肝癌史

每 6 个月 做一次:腹部B超 + 甲胎蛋白(AFP)

早筛、早诊、精准手术,

即使是高难度的右半肝切除,也能带来长期生存希望。


(部分图片素材来源网络,侵权即删)

来源:肝胆胰腺外科 费猛 王英杰 王晓杰

党委宣传统战部编辑整理

Baidu
map